Tailor-made Antibodies
and Tools for Life Science
Home | | | | | Technical Support

Synaptophysin1 (p38-1) antibody - 101 011 K.O.

Synaptophysin is a major synaptic vesicle membrane protein and a useful neuroendocrine tumor marker
Mouse monoclonal purified IgG
Cat. No.: 101 011
Amount: 50 µg
Price: $440.00
Cat. No. 101 011 50 µg purified IgG, lyophilized. Albumin and azide were added for stabilization. For reconstitution add 50 µl H2O to get a 1mg/ml solution in PBS. Then aliquot and store at -20°C to -80°C until use.
Antibodies should be stored at +4°C when still lyophilized. Do not freeze!
Applications
 
WB: 1 : 10000 (AP staining) gallery  
IP: yes
ICC: 1 : 500 up to 1 : 1000 gallery  
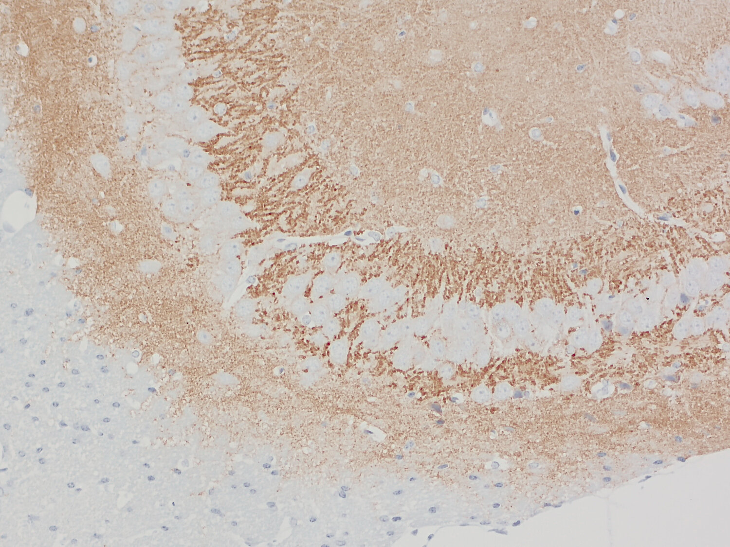
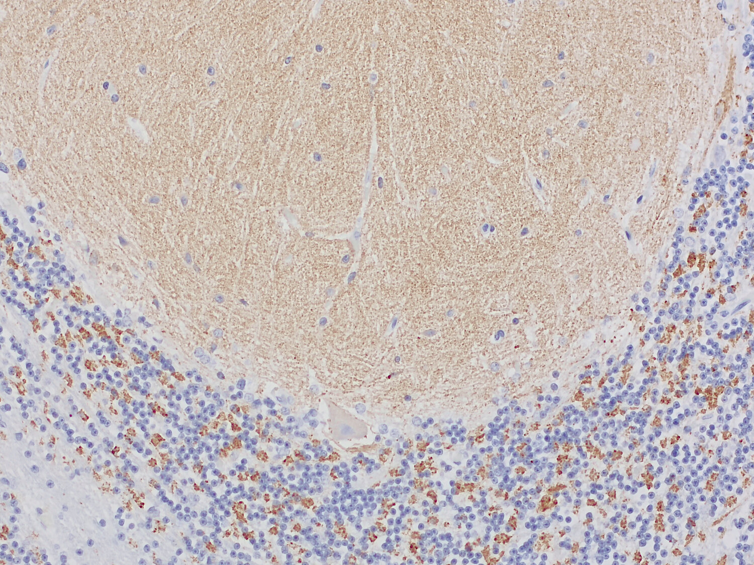
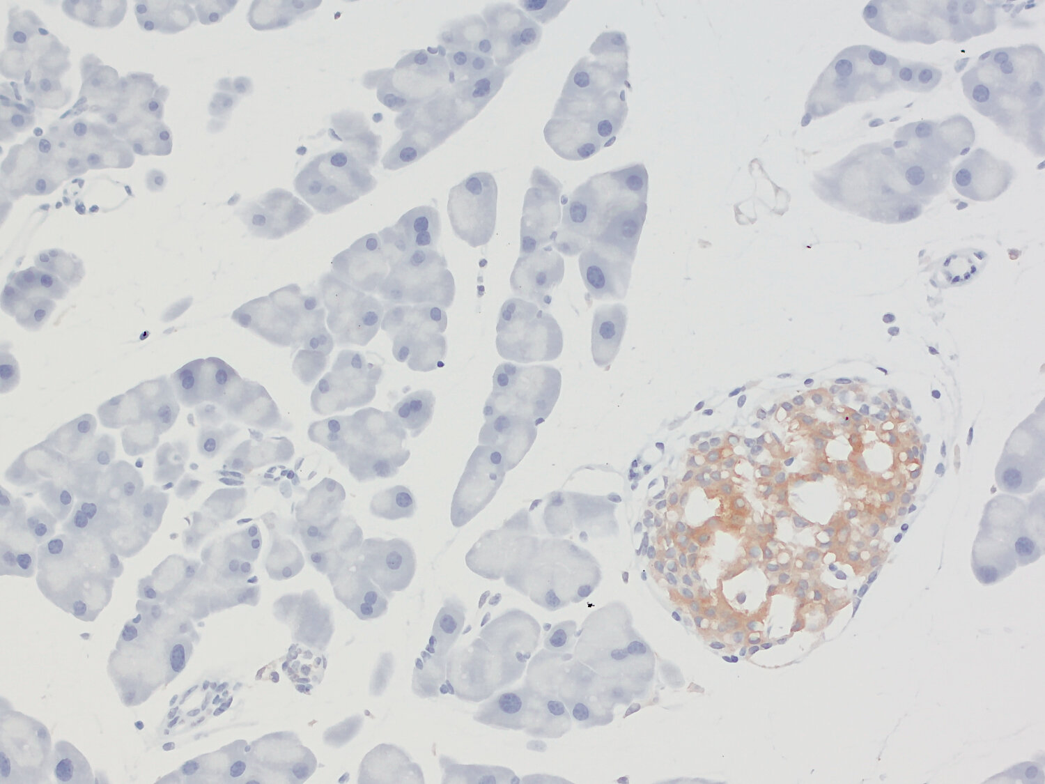
IHC: 1 : 500 up to 1 : 1000 gallery  
IHC-P: 1 : 500 up to 1 : 1000 (see remarks) gallery  
ExM: external data (see remarks) gallery  
EM: external data (see remarks)
ELISA: yes (see remarks)

Western blot (WB); separation of proteins by PAGE and subsequent transfer to a membrane. Detection of target molecules is carried out with antibodies. Some antibodies require special sample preparation steps. For details, please refer to the “Remarks” section.

Immunoprecipitation (IP); Immunoisolation or pulldown of a target molecule using an antibody. For details and product specific hints, please refer to the ”Remarks” section.

Immunocytochemistry (ICC) on 4% PFA fixed cells. Immunoreactivity is usually revealed by fluorescence. Some antibodies require special fixation methods. For details, please refer to the “Remarks” section.

Immunohistochemistry (IHC) on 4% PFA perfusion fixed tissue with 24h PFA post fixation. Immunoreactivity is usually revealed by fluorescence or a chromogenic substrate. Some antibodies require special fixation methods or antigen retrieval steps. For details, please refer to the ”Remarks” section.

Immunohistochemistry (IHC-P) of formalin fixed, paraffin embedded (FFPE) tissue (some antibodies require special antigen retrieval steps, please refer to the ”Remarks” section). Immunoreactivity is usually revealed by fluorescence or a chromogenic substrate.

Expansion Microscopy (ExM) is a sample preparation and imaging method which employs a dense interconnected web of swellable polymer within a biological specimen. A significantly higher effective resolution can be achieved with a standard microscope setup. For additional experimental details, please refer to the Remarks section.

Electron microscopy (EM) is a microscopy technique that detects the scatter of electrons through thin tissue sections. In Immuno-EM the antigen is usually revealed by colloidal gold conjugated secondary antibodies linking electron dense structures to antigen-bound primary antibodies.

Enzyme-linked immunosorbent assay (ELISA); a frequently employed method to quantify target-molecules in solution. The detection of some proteins requires special solubilization steps. For further information, please refer to the „Remarks“ section.

Clone 7.2
Subtype IgG1 (λ light chain)
Immunogen Full-length recombinant rat Synaptophysin (UniProt Id: P07825)
Epitop AA 219 to 307 from rat Synaptophysin1 (UniProt Id: P07825)
corresponding to the cytoplasmic tail.
Reactivity Reacts with: human (P08247), rat (P07825), mouse (Q62277), mammals.
Weaker signal: zebrafish, other vertebrates.
Other species not tested yet.
Specificity K.O. validated PubMed: 31940485
Remarks

Widely used as marker for nerve terminals and neuroendocrine tumors. For unknown reason, neuronal synaptophysin is better recognised than neuroendocrine synaptophysin. If this is a problem, the polyclonal rabbit antibody, cat. no. 101 002 or 101 203 are recommended.
IHC-P: For fluorescent detection, an optimized AGR time of 30 minutes is recommended for best results.
ExM: This antibody has been successfully applied and published for this method by customers (see application-specific references).
EM: This antibody has been successfully applied and published for this method by customers (see application-specific references).
ELISA: The ELISA-protocol for membrane proteins is required.
Suitable as capture antibody for sandwich-ELISA. Please refer to the protocol for suitable detector antibodies.

Data sheet Datasheet 101_011

References for Synaptophysin1 - 101 011

Mitochondrial Ca2+ efflux controls neuronal metabolism and long-term memory across species.
Amrapali Vishwanath A, Comyn T, Mira RG, Brossier C, Pascual-Caro C, Faour M, Boumendil K, Chintaluri C, Ramon-Duaso C, Fan R, Ghosh K, et al.
Nature metabolism (2026) 82: 467-488. 101 011 WB; tested species: rat
Activation of GluN2D-containing NMDA receptors promotes development of axons and axon-carrying dendrites of cortical interneurons.
Köhler I, Rennau LM, Hoffmann L, Demianchuk E, Kaczmarski M, Sobierajski E, Riedel C, Wahle P
Cerebral cortex (New York, N.Y. : 1991) (2025) 356: . 101 011 WB; tested species: rat
Expression of synaptic proteins and development of dendritic spines in fetal and postnatal neocortex of the pig, the European wild boar Sus scrofa.
Sobierajski E, Czubay K, Schmidt MR, Wiedenski S, Rettschlag S, Beemelmans C, Beemelmans C, Wahle P
Brain structure & function (2025) 2302: 38. 101 011 WB; tested species: pig
Mouse-derived Synaptosomes Trypsin Cleavage Assay to Characterize Synaptic Protein Sub-localization.
Shergill JK, Tehran DA
Bio-protocol (2025) 152: e5164. 101 011 WB; tested species: mouse
TBC1D24 interacts with the v-ATPase and regulates intraorganellar pH in neurons.
Pepe S, Aprile D, Castroflorio E, Marte A, Giubbolini S, Hopestone S, Parsons A, Soares T, Benfenati F, Oliver PL, Fassio A, et al.
iScience (2025) 281: 111515. 101 011 WB; tested species: mouse
STON2 variations are involved in synaptic dysfunction and schizophrenia-like behaviors by regulating Syt1 trafficking.
Ma Y, Gao K, Sun X, Wang J, Yang Y, Wu J, Chai A, Yao L, Liu N, Yu H, Su Y, et al.
Science bulletin (2024) : . 101 011 WB; tested species: mouse
Microglial activation and hypothalamic structural plasticity in HFD obesity: insights from semaglutide and minocycline.
Rong X, Wei F, Jiang Y, Ma Q, Wang D, Shen J
Journal of lipid research (2024) 662: 100736. 101 011 WB, IHC; tested species: mouse
CTNND2 moderates the pace of synaptic maturation and links human evolution to synaptic neoteny.
Assendorp N, Fossati M, Libé-Philippot B, Christopoulou E, Depp M, Rapone R, Dingli F, Loew D, Vanderhaeghen P, Charrier C
Cell reports (2024) 4310: 114797. 101 011 WB; tested species: human,mouse
Monitoring of activity-driven trafficking of endogenous synaptic proteins through proximity labeling.
Pascual-Caro C, de Juan-Sanz J
PLoS biology (2024) 2210: e3002860. 101 011 WB; tested species: rat
EHBP1 Is Critically Involved in the Dendritic Arbor Formation and Is Coupled to Factors Promoting Actin Filament Formation.
Ji Y, Izadi-Seitz M, Landmann A, Schwintzer L, Qualmann B, Kessels MM
The Journal of neuroscience : the official journal of the Society for Neuroscience (2024) 446: . 101 011 WB; tested species: rat
Local mitochondrial replication in the periphery of neurons requires the eEF1A1 protein and thetranslation of nuclear-encoded proteins.
Cardanho-Ramos C, Simões RA, Wang YZ, Faria-Pereira A, Bomba-Warczak E, Craessaerts K, Spinazzi M, Savas JN, Morais VA
iScience (2024) 274: 109136. 101 011 WB; tested species: mouse
Liprin-α proteins are master regulators of human presynapse assembly.
Marcó de la Cruz B, Campos J, Molinaro A, Xie X, Jin G, Wei Z, Acuna C, Sterky FH
Nature neuroscience (2024) : . 101 011 WB, ICC; tested species: human
Synaptic neoteny of human cortical neurons requires species-specific balancing of SRGAP2-SYNGAP1 cross-inhibition.
Libé-Philippot B, Iwata R, Recupero AJ, Wierda K, Bernal Garcia S, Hammond L, van Benthem A, Limame R, Ditkowska M, Beckers S, Gaspariunaite V, et al.
Neuron (2024) : . 101 011 WB; tested species: human
Purification of time-resolved insulin granules reveals proteomic and lipidomic changes during granule aging.
Neukam M, Sala P, Brunner AD, Ganß K, Palladini A, Grzybek M, Topcheva O, Vasiljević J, Broichhagen J, Johnsson K, Kurth T, et al.
Cell reports (2024) 433: 113836. 101 011 WB; tested species: mouse
Molecular definition of distinct active zone protein machineries for Ca2+ channel clustering and synaptic vesicle priming.
Emperador-Melero J, Andersen JW, Metzbower SR, Levy AD, Dharmasri PA, de Nola G, Blanpied TA, Kaeser PS
bioRxiv : the preprint server for biology (2023) : . 101 011 WB, ICC; tested species: mouse
Autophagy enables microglia to engage amyloid plaques and prevents microglial senescence.
Choi I, Wang M, Yoo S, Xu P, Seegobin SP, Li X, Han X, Wang Q, Peng J, Zhang B, Yue Z, et al.
Nature cell biology (2023) 257: 963-974. 101 011 WB; tested species: mouse
A defined roadmap of radial glia and astrocyte differentiation from human pluripotent stem cells.
Jovanovic VM, Weber C, Slamecka J, Ryu S, Chu PH, Sen C, Inman J, De Sousa JF, Barnaeva E, Hirst M, Galbraith D, et al.
Stem cell reports (2023) : . 101 011 WB; tested species: mouse
C9orf72 hexanucleotide repeat expansion leads to altered neuronal and dendritic spine morphology and synaptic dysfunction.
Huber N, Hoffmann D, Giniatullina R, Rostalski H, Leskelä S, Takalo M, Natunen T, Solje E, Remes AM, Giniatullin R, Hiltunen M, et al.
Neurobiology of disease (2022) 162: 105584. 101 011 WB; tested species: mouse
Synaptic vesicle binding of α-synuclein is modulated by β- and γ-synucleins.
Carnazza KE, Komer LE, Xie YX, Pineda A, Briano JA, Gao V, Na Y, Ramlall T, Buchman VL, Eliezer D, Sharma M, et al.
Cell reports (2022) 392: 110675. 101 011 WB; tested species: mouse
Chronic social stress disrupts the intracellular redistribution of brain hexokinase 3 induced by shifts in peripheral glucose levels.
van der Kooij MA, Rojas-Charry L, Givehchi M, Wolf C, Bueno D, Arndt S, Tenzer S, Mattioni L, Treccani G, Hasch A, Schmeisser MJ, et al.
Journal of molecular medicine (Berlin, Germany) (2022) : . 101 011 WB; tested species: mouse
Vesicular Glutamate Release from Feeder-FreehiPSC-Derived Neurons.
Baldassari S, Cervetto C, Amato S, Fruscione F, Balagura G, Pelassa S, Musante I, Iacomino M, Traverso M, Corradi A, Scudieri P, et al.
International journal of molecular sciences (2022) 2318: . 101 011 WB; tested species: human
Altered m6A RNA methylation contributes to hippocampal memory deficits in Huntington's disease mice.
Pupak A, Singh A, Sancho-Balsells A, Alcalá-Vida R, Espina M, Giralt A, Martí E, Ørom UAV, Ginés S, Brito V
Cellular and molecular life sciences : CMLS (2022) 798: 416. 101 011 WB; tested species: mouse
Plasticity-Related Gene 5 Is Expressed in a Late Phase of Neurodifferentiation After Neuronal Cell-Fate Determination.
Gross I, Brandt N, Vonk D, Köper F, Wöhlbrand L, Rabus R, Witt M, Heep A, Plösch T, Hipp MS, Bräuer AU, et al.
Frontiers in cellular neuroscience (2022) 16: 797588. 101 011 WB; tested species: mouse
Glutamatergic synapses from the insular cortex to the basolateral amygdala encode observational pain.
Zhang MM, Geng AQ, Chen K, Wang J, Wang P, Qiu XT, Gu JX, Fan HW, Zhu DY, Yang SM, Chen QY, et al.
Neuron (2022) 11012: 1993-2008.e6. 101 011 WB; tested species: mouse
Identification of substrates of palmitoyl protein thioesterase 1 highlights roles of depalmitoylation in disulfide bond formation and synaptic function.
Gorenberg EL, Massaro Tieze S, Yücel B, Zhao HR, Chou V, Wirak GS, Tomita S, Lam TT, Chandra SS
PLoS biology (2022) 203: e3001590. 101 011 WB, ICC; tested species: mouse
The ER ladder is a unique morphological feature of developing mammalian axons.
Zamponi E, Meehl JB, Voeltz GK
Developmental cell (2022) 5711: 1369-1382.e6. 101 011 WB, ICC; tested species: rat
Dynamic proteomic and phosphoproteomic atlas of corticostriatal axons in neurodevelopment.
Dumrongprechachan V, Salisbury RB, Butler L, MacDonald ML, Kozorovitskiy Y
eLife (2022) 11: . 101 011 WB; tested species: mouse
PKC-phosphorylation of Liprin-α3 triggers phase separation and controls presynaptic active zone structure.
Emperador-Melero J, Wong MY, Wang SSH, de Nola G, Nyitrai H, Kirchhausen T, Kaeser PS
Nature communications (2021) 121: 3057. 101 011 WB, ICC; tested species: mouse
Localization, proteomics, and metabolite profiling reveal a putative vesicular transporter for UDP-glucose.
Qian C, Wu Z, Sun R, Yu H, Zeng J, Rao Y, Li Y
eLife (2021) 10: . 101 011 WB, ICC; tested species: mouse
Cannabinoid receptor activation acutely increases synaptic vesicle numbers by activating synapsins in human synapses.
Patzke C, Dai J, Brockmann MM, Sun Z, Fenske P, Rosenmund C, Südhof TC
Molecular psychiatry (2021) : . 101 011 WB, ICC; tested species: human
Synapsin Condensates Recruit alpha-Synuclein.
Hoffmann C, Sansevrino R, Morabito G, Logan C, Vabulas RM, Ulusoy A, Ganzella M, Milovanovic D
Journal of molecular biology (2021) 43312: 166961. 101 011 WB; tested species: rat
Vesicular Glutamate Transporters (SLCA17 A6, 7, 8) Control Synaptic Phosphate Levels.
Cheret C, Ganzella M, Preobraschenski J, Jahn R, Ahnert-Hilger G
Cell reports (2021) 342: 108623. 101 011 WB; tested species: mouse
Cooperative function of synaptophysin and synapsin in the generation of synaptic vesicle-like clusters in non-neuronal cells.
Park D, Wu Y, Lee SE, Kim G, Jeong S, Milovanovic D, Camilli P, Chang S
Nature communications (2021) 121: 263. 101 011 WB, ICC; tested species: cos cells
Brain sterol flux mediated by cytochrome P450 46A1 affects membrane properties and membrane-dependent processes.
Petrov AM, Mast N, Li Y, Denker J, Pikuleva IA
Brain communications (2020) 21: . 101 011 WB; tested species: mouse
A complement-microglial axis driving inhibitory synapse related protein loss might contribute to systemic inflammation-induced cognitive impairment.
Li SM, Li B, Zhang L, Zhang GF, Sun J, Ji MH, Yang JJ
International immunopharmacology (2020) 87: 106814. 101 011 WB; tested species: mouse
ELKS1 Captures Rab6-Marked Vesicular Cargo in Presynaptic Nerve Terminals.
Nyitrai H, Wang SSH, Kaeser PS
Cell reports (2020) 3110: 107712. 101 011 WB; tested species: mouse
Positive surface charge of GluN1 N-terminus mediates the direct interaction with EphB2 and NMDAR mobility.
Washburn HR, Xia NL, Zhou W, Mao YT, Dalva MB
Nature communications (2020) 111: 570. 101 011 WB; tested species: rat
LAR receptor phospho-tyrosine phosphatases regulate NMDA-receptor responses.
Sclip A, Südhof TC
eLife (2020) 9: . 101 011 WB; tested species: mouse
Proteomic analysis of subcellular compartments containing disseminated alpha-synuclein seeds.
Kasahara J, Imamura Y, Hiyama A, Yamanaka T, Miyazaki H, Nukina N
Neuroscience research (2020) : . 101 011 WB, IHC; tested species: mouse
Intersectin-Mediated Clearance of SNARE Complexes Is Required for Fast Neurotransmission.
Jäpel M, Gerth F, Sakaba T, Bacetic J, Yao L, Koo SJ, Maritzen T, Freund C, Haucke V
Cell reports (2020) 302: 409-420.e6. 101 011 WB; KO verified; tested species: mouse
Vesicle Tethering on the Surface of Phase-Separated Active Zone Condensates.
Wu X, Ganzella M, Zhou J, Zhu S, Jahn R, Zhang M
Molecular cell (2020) : . 101 011 WB
PICK1 Controls Activity-Dependent Synaptic Vesicle Cargo Retrieval.
Yong XLH, Cousin MA, Anggono V
Cell reports (2020) 334: 108312. 101 011 WB; tested species: rat
Certain ortho-hydroxylated brominated ethers are promiscuous kinase inhibitors that impair neuronal signaling and neurodevelopmental processes.
Poston RG, Murphy L, Rejepova A, Ghaninejad-Esfahani M, Segales J, Mulligan K, Saha RN
The Journal of biological chemistry (2020) : . 101 011 WB; tested species: rat
Raptor-Mediated Proteasomal Degradation of Deamidated 4E-BP2 Regulates Postnatal Neuronal Translation and NF-κB Activity.
Kouloulia S, Hallin EI, Simbriger K, Amorim IS, Lach G, Amvrosiadis T, Chalkiadaki K, Kampaite A, Truong VT, Hooshmandi M, Jafarnejad SM, et al.
Cell reports (2019) 2911: 3620-3635.e7. 101 011 WB; tested species: mouse
SorCS2 Controls Functional Expression of Amino Acid Transporter EAAT3 and Protects Neurons from Oxidative Stress and Epilepsy-Induced Pathology.
Malik AR, Szydlowska K, Nizinska K, Asaro A, van Vliet EA, Popp O, Dittmar G, Fritsche-Guenther R, Kirwan JA, Nykjaer A, Lukasiuk K, et al.
Cell reports (2019) 2610: 2792-2804.e6. 101 011 WB; tested species: mouse
Expression of plasma membrane calcium ATPases confers Ca2+/H+ exchange in rodent synaptic vesicles.
Ono Y, Mori Y, Egashira Y, Sumiyama K, Takamori S
Scientific reports (2019) 91: 4289. 101 011 WB, ICC; tested species: mouse
Synaptic localization of C9orf72 regulates post-synaptic glutamate receptor 1 levels.
Xiao S, McKeever PM, Lau A, Robertson J
Acta neuropathologica communications (2019) 71: 161. 101 011 WB; tested species: mouse
Neuromodulator Signaling Bidirectionally Controls Vesicle Numbers in Human Synapses.
Patzke C, Brockmann MM, Dai J, Gan KJ, Grauel MK, Fenske P, Liu Y, Acuna C, Rosenmund C, Südhof TC
Cell (2019) 1792: 498-513.e22. 101 011 WB, ICC; tested species: mouse
LRP1 Has a Predominant Role in Production over Clearance of Aβ in a Mouse Model of Alzheimer's Disease.
Van Gool B, Storck SE, Reekmans SM, Lechat B, Gordts PLSM, Pradier L, Pietrzik CU, Roebroek AJM
Molecular neurobiology (2019) : . 101 011 WB; tested species: mouse
Redundant and nonredundant organismal functions of EPS15 and EPS15L1.
Milesi C, Alberici P, Pozzi B, Oldani A, Beznoussenko GV, Raimondi A, Soppo BE, Amodio S, Caldieri G, Malabarba MG, Bertalot G, et al.
Life science alliance (2019) 21: . 101 011 WB; tested species: mouse
CYP46A1 Activation by Efavirenz Leads to Behavioral Improvement without Significant Changes in Amyloid Plaque Load in the Brain of 5XFAD Mice.
Petrov AM, Lam M, Mast N, Moon J, Li Y, Maxfield E, Pikuleva IA
Neurotherapeutics : the journal of the American Society for Experimental NeuroTherapeutics (2019) : . 101 011 WB; tested species: mouse
Light-activated ROS production induces synaptic autophagy.
Hoffmann S, Orlando M, Andrzejak E, Bruns C, Trimbuch T, Rosenmund C, Garner CC, Ackermann F
The Journal of neuroscience : the official journal of the Society for Neuroscience (2019) : . 101 011 WB, ICC; tested species: mouse
Critical role for piccolo in synaptic vesicle retrieval.
Ackermann F, Schink KO, Bruns C, Izsvák Z, Hamra FK, Rosenmund C, Garner CC
eLife (2019) 8: . 101 011 WB, ICC; tested species: rat
Elevated synaptic vesicle release probability in synaptophysin/gyrin family quadruple knockouts.
Raja MK, Preobraschenski J, Del Olmo-Cabrera S, Martinez-Turrillas R, Jahn R, Perez-Otano I, Wesseling JF
eLife (2019) 8: . 101 011 WB; KO verified; tested species: mouse
Synaptotagmin-3 drives AMPA receptor endocytosis, depression of synapse strength, and forgetting.
Awasthi A, Ramachandran B, Ahmed S, Benito E, Shinoda Y, Nitzan N, Heukamp A, Rannio S, Martens H, Barth J, Burk K, et al.
Science (New York, N.Y.) (2018) : . 101 011 WB, ICC; tested species: rat
Dopamine Secretion Is Mediated by Sparse Active Zone-like Release Sites.
Liu C, Kershberg L, Wang J, Schneeberger S, Kaeser PS
Cell (2018) 1724: 706-718.e15. 101 011 WB; tested species: mouse
Clathrin coat controls synaptic vesicle acidification by blocking vacuolar ATPase activity.
Farsi Z, Gowrisankaran S, Krunic M, Rammner B, Woehler A, Lafer EM, Mim C, Jahn R, Milosevic I
eLife (2018) 7: . 101 011 WB; tested species: mouse
VGLUT1 Binding to Endophilin or Intersectin1 and Dynamin Phosphorylation in a Diurnal Context.
Richter K, Schmutz I, Darna M, Zander JF, Chavan R, Albrecht U, Ahnert-Hilger G
Neuroscience (2018) 371: 29-37. 101 011 WB; tested species: mouse
Identification and characterization of the BRI2 interactome in the brain.
Martins F, Marafona AM, Pereira CD, Müller T, Loosse C, Kolbe K, da Cruz E Silva OAB, Rebelo S
Scientific reports (2018) 81: 3548. 101 011 WB, IP; tested species: rat
Generation and Characterization of Anti-VGLUT Nanobodies Acting as Inhibitors of Transport.
Schenck S, Kunz L, Sahlender D, Pardon E, Geertsma ER, Savtchouk I, Suzuki T, Neldner Y, Štefanić S, Steyaert J, Volterra A, et al.
Biochemistry (2017) 5630: 3962-3971. 101 011 WB; tested species: rat
Identification and characterization of a novel botulinum neurotoxin.
Zhang S, Masuyer G, Zhang J, Shen Y, Lundin D, Henriksson L, Miyashita SI, Martínez-Carranza M, Dong M, Stenmark P
Nature communications (2017) 8: 14130. 101 011 WB; tested species: mouse
Impaired AMPA receptor trafficking by a double knockout of zebrafish olfactomedin1a/b.
Nakaya N, Sultana A, Tomarev SI
Journal of neurochemistry (2017) 1436: 635-644. 101 011 WB; tested species: zebrafish
Analysis of SUMO1-conjugation at synapses.
Daniel JA, Cooper BH, Palvimo JJ, Zhang FP, Brose N, Tirard M
eLife (2017) 6: . 101 011 WB; tested species: mouse
Serotonin Transporter Associated Protein Complexes Are Enriched in Synaptic Vesicle Proteins and Proteins Involved in Energy Metabolism and Ion Homeostasis.
Haase J, Grudzinska-Goebel J, Müller HK, Münster-Wandowski A, Chow E, Wynne K, Farsi Z, Zander JF, Ahnert-Hilger G
ACS chemical neuroscience (2017) 85: 1101-1116. 101 011 WB; tested species: mouse,rat
The intermediate filament protein vimentin is essential for axonotrophic effects of Clostridium botulinum C3 exoenzyme.
Adolf A, Leondaritis G, Rohrbeck A, Eickholt BJ, Just I, Ahnert-Hilger G, Höltje M
Journal of neurochemistry (2016) 1392: 234-244. 101 011 WB
Conditional deletion of L1CAM in human neurons impairs both axonal and dendritic arborization and action potential generation.
Patzke C, Acuna C, Giam LR, Wernig M, Südhof TC
The Journal of experimental medicine (2016) 2134: 499-515. 101 011 WB; tested species: mouse
Synaptophysin 1 Clears Synaptobrevin 2 from the Presynaptic Active Zone to Prevent Short-Term Depression.
Rajappa R, Gauthier-Kemper A, Böning D, Hüve J, Klingauf J
Cell reports (2016) 146: 1369-1381. 101 011 WB, ICC; tested species: rat
Microtubule-associated protein 1B (MAP1B)-deficient neurons show structural presynaptic deficiencies in vitro and altered presynaptic physiology.
Bodaleo FJ, Montenegro-Venegas C, Henríquez DR, Court FA, Gonzalez-Billault C
Scientific reports (2016) 6: 30069. 101 011 WB, ICC
RIM-binding protein 2 regulates release probability by fine-tuning calcium channel localization at murine hippocampal synapses.
Grauel MK, Maglione M, Reddy-Alla S, Willmes CG, Brockmann MM, Trimbuch T, Rosenmund T, Pangalos M, Vardar G, Stumpf A, Walter AM, et al.
Proceedings of the National Academy of Sciences of the United States of America (2016) 11341: 11615-11620. 101 011 WB; tested species: mouse
How to Make an Active Zone: Unexpected Universal Functional Redundancy between RIMs and RIM-BPs.
Acuna C, Liu X, Südhof TC
Neuron (2016) 914: 792-807. 101 011 WB
GluN2B-Containing NMDA Receptors Regulate AMPA Receptor Traffic through Anchoring of the Synaptic Proteasome.
Ferreira JS, Schmidt J, Rio P, Águas R, Rooyakkers A, Li KW, Smit AB, Craig AM, Carvalho AL
The Journal of neuroscience : the official journal of the Society for Neuroscience (2015) 3522: 8462-79. 101 011 WB
Effects of acute and repeated cocaine on markers for neural plasticity within the mesolimbic system in rats.
Rodriguez-Espinosa N, Fernandez-Espejo E
Psychopharmacology (2015) 2321: 57-62. 101 011 WB
Truncated tau deregulates synaptic markers in rat model for human tauopathy.
Jadhav S, Katina S, Kovac A, Kazmerova Z, Novak M, Zilka N
Frontiers in cellular neuroscience (2015) 9: 24. 101 011 WB
miR-34a regulates cell proliferation, morphology and function of newborn neurons resulting in improved behavioural outcomes.
Mollinari C, Racaniello M, Berry A, Pieri M, de Stefano MC, Cardinale A, Zona C, Cirulli F, Garaci E, Merlo D
Cell death & disease (2015) 6: e1622. 101 011 WB
Analysis of conditional heterozygous STXBP1 mutations in human neurons.
Patzke C, Han Y, Covy J, Yi F, Maxeiner S, Wernig M, Südhof TC
The Journal of clinical investigation (2015) 1259: 3560-71. 101 011 WB
Vesicular Synaptobrevin/VAMP2 Levels Guarded by AP180 Control Efficient Neurotransmission.
Koo SJ, Kochlamazashvili G, Rost B, Puchkov D, Gimber N, Lehmann M, Tadeus G, Schmoranzer J, Rosenmund C, Haucke V, Maritzen T, et al.
Neuron (2015) 882: 330-44. 101 011 WB; tested species: mouse
KV10.1 opposes activity-dependent increase in Ca2+ influx into the presynaptic terminal of the parallel fibre - Purkinje cell synapse.
Mortensen LS, Schmidt H, Farsi Z, Barrantes-Freer A, Rubio ME, Ufartes R, Eilers J, Sakaba T, Stühmer W, Pardo LA
The Journal of physiology (2014) : . 101 011 WB
Proteomic screening of glutamatergic mouse brain synaptosomes isolated by fluorescence activated sorting.
Biesemann C, Grønborg M, Luquet E, Wichert SP, Bernard V, Bungers SR, Cooper B, Varoqueaux F, Li L, Byrne JA, Urlaub H, et al.
The EMBO journal (2014) 332: 157-70. 101 011 WB; tested species: mouse
Exogenous α-synuclein decreases raft partitioning of Cav2.2 channels inducing dopamine release.
Ronzitti G, Bucci G, Emanuele M, Leo D, Sotnikova TD, Mus LV, Soubrane CH, Dallas ML, Thalhammer A, Cingolani LA, Mochida S, et al.
The Journal of neuroscience : the official journal of the Society for Neuroscience (2014) 3432: 10603-15. 101 011 WB; tested species: rat
SCAMP5 plays a critical role in synaptic vesicle endocytosis during high neuronal activity.
Zhao H, Kim Y, Park J, Park D, Lee SE, Chang I, Chang S
The Journal of neuroscience : the official journal of the Society for Neuroscience (2014) 3430: 10085-95. 101 011 WB; tested species: rat
Composition of isolated synaptic boutons reveals the amounts of vesicle trafficking proteins.
Wilhelm BG, Mandad S, Truckenbrodt S, Kröhnert K, Schäfer C, Rammner B, Koo SJ, Claßen GA, Krauss M, Haucke V, Urlaub H, et al.
Science (New York, N.Y.) (2014) 3446187: 1023-8. 101 011 WB, ICC, IHC; tested species: mouse,rat
Synaptic state-dependent functional interplay between postsynaptic density-95 and synapse-associated protein 102.
Bonnet SA, Akad DS, Samaddar T, Liu Y, Huang X, Dong Y, Schlüter OM
The Journal of neuroscience : the official journal of the Society for Neuroscience (2013) 3333: 13398-409. 101 011 WB; tested species: mouse
Ongoing intrinsic synchronous activity is required for the functional maturation of CA3-CA1 glutamatergic synapses.
Huupponen J, Molchanova SM, Lauri SE, Taira T
Cerebral cortex (New York, N.Y. : 1991) (2013) 2311: 2754-64. 101 011 WB; tested species: rat
Storage and uptake of D-serine into astrocytic synaptic-like vesicles specify gliotransmission.
Martineau M, Shi T, Puyal J, Knolhoff AM, Dulong J, Gasnier B, Klingauf J, Sweedler JV, Jahn R, Mothet JP
The Journal of neuroscience : the official journal of the Society for Neuroscience (2013) 338: 3413-23. 101 011 WB; tested species: rat
Small-scale isolation of synaptic vesicles from mammalian brain.
Ahmed S, Holt M, Riedel D, Jahn R
Nature protocols (2013) 85: 998-1009. 101 011 WB; tested species: mouse
Pain after discontinuation of morphine treatment is associated with synaptic increase of GluA4-containing AMPAR in the dorsal horn of the spinal cord.
Cabañero D, Baker A, Zhou S, Hargett GL, Irie T, Xia Y, Beaudry H, Gendron L, Melyan Z, Carlton SM, Morón JA, et al.
Neuropsychopharmacology : official publication of the American College of Neuropsychopharmacology (2013) 388: 1472-84. 101 011 WB; tested species: mouse
CDKL5 ensures excitatory synapse stability by reinforcing NGL-1-PSD95 interaction in the postsynaptic compartment and is impaired in patient iPSC-derived neurons.
Ricciardi S, Ungaro F, Hambrock M, Rademacher N, Stefanelli G, Brambilla D, Sessa A, Magagnotti C, Bachi A, Giarda E, Verpelli C, et al.
Nature cell biology (2012) 149: 911-23. 101 011 WB, ICC; tested species: mouse
IκB kinase/nuclear factor κB-dependent insulin-like growth factor 2 (Igf2) expression regulates synapse formation and spine maturation via Igf2 receptor signaling.
Schmeisser MJ, Baumann B, Johannsen S, Vindedal GF, Jensen V, Hvalby ØC, Sprengel R, Seither J, Maqbool A, Magnutzki A, Lattke M, et al.
The Journal of neuroscience : the official journal of the Society for Neuroscience (2012) 3216: 5688-703. 101 011 WB; tested species: mouse
Neurotoxic phospholipases directly affect synaptic vesicle function.
Treppmann P, Brunk I, Afube T, Richter K, Ahnert-Hilger G
Journal of neurochemistry (2011) 1174: 757-64. 101 011 WB; tested species: rat
SV31 is a Zn2+-binding synaptic vesicle protein.
Barth J, Zimmermann H, Volknandt W
Journal of neurochemistry (2011) 1184: 558-70. 101 011 WB, ICC
In vivo imaging of intersynaptic vesicle exchange using VGLUT1 Venus knock-in mice.
Herzog E, Nadrigny F, Silm K, Biesemann C, Helling I, Bersot T, Steffens H, Schwartzmann R, Nägerl UV, El Mestikawy S, Rhee J, et al.
The Journal of neuroscience : the official journal of the Society for Neuroscience (2011) 3143: 15544-59. 101 011 WB; tested species: mouse
Cleavage of the vesicular GABA transporter under excitotoxic conditions is followed by accumulation of the truncated transporter in nonsynaptic sites.
Gomes JR, Lobo AC, Melo CV, Inácio AR, Takano J, Iwata N, Saido TC, de Almeida LP, Wieloch T, Duarte CB
The Journal of neuroscience : the official journal of the Society for Neuroscience (2011) 3112: 4622-35. 101 011 WB; tested species: rat
SV2 mediates entry of tetanus neurotoxin into central neurons.
Yeh FL, Dong M, Yao J, Tepp WH, Lin G, Johnson EA, Chapman ER
PLoS pathogens (2010) 611: e1001207. 101 011 WB; tested species: mouse
Amphetamine regulates NR2B expression in Go2α knockout mice and thereby sustains behavioral sensitization.
Brunk I, Sanchis-Segura C, Blex C, Perreau-Lenz S, Bilbao A, Spanagel R, Ahnert-Hilger G
Journal of neurochemistry (2010) 1151: 234-46. 101 011 WB; tested species: mouse
Aberrant function and structure of retinal ribbon synapses in the absence of complexin 3 and complexin 4.
Reim K, Regus-Leidig H, Ammermüller J, El-Kordi A, Radyushkin K, Ehrenreich H, Brandstätter JH, Brose N
Journal of cell science (2009) 122Pt 9: 1352-61. 101 011 WB; tested species: mouse
Loss of SNAP-25 and rabphilin 3a in sensory-motor cortex in Huntington's disease.
Smith R, Klein P, Koc-Schmitz Y, Waldvogel HJ, Faull RL, Brundin P, Plomann M, Li JY
Journal of neurochemistry (2007) 1031: 115-23. 101 011 WB; tested species: human
Synaptic and vesicular co-localization of the glutamate transporters VGLUT1 and VGLUT2 in the mouse hippocampus.
Herzog E, Takamori S, Jahn R, Brose N, Wojcik SM
Journal of neurochemistry (2006) 993: 1011-8. 101 011 WB, IP; tested species: mouse
Versican G3 domain regulates neurite growth and synaptic transmission of hippocampal neurons by activation of epidermal growth factor receptor.
Xiang YY, Dong H, Wan Y, Li J, Yee A, Yang BB, Lu WY
The Journal of biological chemistry (2006) 28128: 19358-68. 101 011 WB; tested species: rat
Differential sorting of the vesicular glutamate transporter 1 into a defined vesicular pool is regulated by light signaling involving the clock gene Period2.
Yelamanchili SV, Pendyala G, Brunk I, Darna M, Albrecht U, Ahnert-Hilger G
The Journal of biological chemistry (2006) 28123: 15671-9. 101 011 WB; tested species: mouse
Structurally and functionally unique complexins at retinal ribbon synapses.
Reim K, Wegmeyer H, Brandstätter JH, Xue M, Rosenmund C, Dresbach T, Hofmann K, Brose N
The Journal of cell biology (2005) 1694: 669-80. 101 011 WB
EBAG9 adds a new layer of control on large dense-core vesicle exocytosis via interaction with Snapin.
Rüder C, Reimer T, Delgado-Martinez I, Hermosilla R, Engelsberg A, Nehring R, Dörken B, Rehm A
Molecular biology of the cell (2005) 163: 1245-57. 101 011 WB, ICC; tested species: human
Immunoisolation of two synaptic vesicle pools from synaptosomes: a proteomics analysis.
Morciano M, Burré J, Corvey C, Karas M, Zimmermann H, Volknandt W
Journal of neurochemistry (2005) 956: 1732-45. 101 011 WB; tested species: rat
Polypyrimidine tract-binding protein promotes insulin secretory granule biogenesis.
Knoch KP, Bergert H, Borgonovo B, Saeger HD, Altkrüger A, Verkade P, Solimena M
Nature cell biology (2004) 63: 207-14. 101 011 WB
SV2B regulates synaptotagmin 1 by direct interaction.
Lazzell DR, Belizaire R, Thakur P, Sherry DM, Janz R
The Journal of biological chemistry (2004) 27950: 52124-31. 101 011 WB, IP, IHC
The synaptophysin/synaptobrevin complex dissociates independently of neuroexocytosis.
Reisinger C, Yelamanchili SV, Hinz B, Mitter D, Becher A, Bigalke H, Ahnert-Hilger G
Journal of neurochemistry (2004) 901: 1-8. 101 011 WB, IP
An essential role for vesicular glutamate transporter 1 (VGLUT1) in postnatal development and control of quantal size.
Wojcik SM, Rhee JS, Herzog E, Sigler A, Jahn R, Takamori S, Brose N, Rosenmund C
Proceedings of the National Academy of Sciences of the United States of America (2004) 10118: 7158-63. 101 011 WB; tested species: mouse
Vesicular localization and activity-dependent trafficking of presynaptic choline transporters.
Ferguson SM, Savchenko V, Apparsundaram S, Zwick M, Wright J, Heilman CJ, Yi H, Levey AI, Blakely RD
The Journal of neuroscience : the official journal of the Society for Neuroscience (2003) 2330: 9697-709. 101 011 WB; tested species: mouse
Distribution of synaptic vesicle proteins in the mammalian retina identifies obligatory and facultative components of ribbon synapses.
Von Kriegstein K, Schmitz F, Link E, Südhof TC
The European journal of neuroscience (1999) 114: 1335-48. 101 011 WB, IHC
The synaptophysin-synaptobrevin complex: a hallmark of synaptic vesicle maturation.
Becher A, Drenckhahn A, Pahner I, Margittai M, Jahn R, Ahnert-Hilger G
The Journal of neuroscience : the official journal of the Society for Neuroscience (1999) 196: 1922-31. 101 011 WB, IP
Synaptotagmin: a membrane constituent of neuropeptide-containing large dense-core vesicles.
Walch-Solimena C, Takei K, Marek KL, Midyett K, Südhof TC, De Camilli P, Jahn R
The Journal of neuroscience : the official journal of the Society for Neuroscience (1993) 139: 3895-903. 101 011 WB, IP
Synaptophysin accelerates synaptic vesicle fusion by expanding the membrane upon neurotransmitter loading.
Preobraschenski J, Kreutzberger AJB, Ganzella M, Münster-Wandowski A, Kreutzberger MAB, Oolsthorn LHM, Seibert S, Kiessling V, Riedel D, Witkowska A, Ahnert-Hilger G, et al.
Science advances (2025) 1117: eads4661. 101 011 IP, ICC; tested species: mouse,rat
Suggestion of creatine as a new neurotransmitter by approaches ranging from chemical analysis and biochemistry to electrophysiology.
Bian X, Zhu J, Jia X, Liang W, Yu S, Li Z, Zhang W, Rao Y
eLife (2023) 12: . 101 011 IP; tested species: mouse
Identification and characterization of the BRI2 interactome in the brain.
Martins F, Marafona AM, Pereira CD, Müller T, Loosse C, Kolbe K, da Cruz E Silva OAB, Rebelo S
Scientific reports (2018) 81: 3548. 101 011 WB, IP; tested species: rat
Synaptic and vesicular co-localization of the glutamate transporters VGLUT1 and VGLUT2 in the mouse hippocampus.
Herzog E, Takamori S, Jahn R, Brose N, Wojcik SM
Journal of neurochemistry (2006) 993: 1011-8. 101 011 WB, IP; tested species: mouse
SV2B regulates synaptotagmin 1 by direct interaction.
Lazzell DR, Belizaire R, Thakur P, Sherry DM, Janz R
The Journal of biological chemistry (2004) 27950: 52124-31. 101 011 WB, IP, IHC
The synaptophysin/synaptobrevin complex dissociates independently of neuroexocytosis.
Reisinger C, Yelamanchili SV, Hinz B, Mitter D, Becher A, Bigalke H, Ahnert-Hilger G
Journal of neurochemistry (2004) 901: 1-8. 101 011 WB, IP
The synaptophysin-synaptobrevin complex: a hallmark of synaptic vesicle maturation.
Becher A, Drenckhahn A, Pahner I, Margittai M, Jahn R, Ahnert-Hilger G
The Journal of neuroscience : the official journal of the Society for Neuroscience (1999) 196: 1922-31. 101 011 WB, IP
Synaptotagmin: a membrane constituent of neuropeptide-containing large dense-core vesicles.
Walch-Solimena C, Takei K, Marek KL, Midyett K, Südhof TC, De Camilli P, Jahn R
The Journal of neuroscience : the official journal of the Society for Neuroscience (1993) 139: 3895-903. 101 011 WB, IP
Chromogranin A promotes the pathological conversion of α-synuclein at the synapse in Parkinson's disease.
Liu Y, Kong W, Zhu F, Jiang J, Li C, Han J, Ai P, Li C, Wang Y, Liu Y, Zhou L, et al.
Cell reports (2025) 4411: 116562. 101 011 ICC; tested species: mouse
Recording and modeling of pinched hysteresis loops, the fingerprint of a memristor, in neurons.
Pabst O, Schülke C, Balasingham I, Krauss S, Glover JC, Martinsen ØG
Scientific reports (2025) 151: 37212. 101 011 ICC; tested species: human
Synaptophysin accelerates synaptic vesicle fusion by expanding the membrane upon neurotransmitter loading.
Preobraschenski J, Kreutzberger AJB, Ganzella M, Münster-Wandowski A, Kreutzberger MAB, Oolsthorn LHM, Seibert S, Kiessling V, Riedel D, Witkowska A, Ahnert-Hilger G, et al.
Science advances (2025) 1117: eads4661. 101 011 IP, ICC; tested species: mouse,rat
Synaptic vesicle characterization of iPSC-derived dopaminergic neurons provides insight into distinct secretory vesicle pools.
Fujise K, Mishra J, Rosenfeld MS, Rafiq NM
NPJ Parkinson's disease (2025) 111: 16. 101 011 ICC; tested species: human
Membrane mechanics dictate axonal pearls-on-a-string morphology and function.
Griswold JM, Bonilla-Quintana M, Pepper R, Lee CT, Raychaudhuri S, Ma S, Gan Q, Syed S, Zhu C, Bell M, Suga M, et al.
Nature neuroscience (2024) : . 101 011 ICC; tested species: mouse
A Screen of Plant-Based Natural Products Revealed That Quercetin Prevents Pyroglutamylated Amyloid-β (Aβ3(pE)-42) Uptake in Astrocytes As Well As Resulting Astrogliosis and Synaptic Dysfunction.
Arndt H, Bachurski M, Yuanxiang P, Franke K, Wessjohann LA, Kreutz MR, Grochowska KM
Molecular neurobiology (2024) : . 101 011 ICC; tested species: rat
Actin-nucleation promoting factor N-WASP influences alpha-synuclein condensates and pathology.
Jackson J, Hoffmann C, Scifo E, Wang H, Wischhof L, Piazzesi A, Mondal M, Shields H, Zhou X, Mondin M, Ryan EB, et al.
Cell death & disease (2024) 154: 304. 101 011 ICC; tested species: mouse
Liprin-α proteins are master regulators of human presynapse assembly.
Marcó de la Cruz B, Campos J, Molinaro A, Xie X, Jin G, Wei Z, Acuna C, Sterky FH
Nature neuroscience (2024) : . 101 011 WB, ICC; tested species: human
Somatic and terminal CB1 receptors are differentially coupled to voltage-gated sodium channels in neocortical neurons.
Steiger LJ, Tsintsadze T, Mattheisen GB, Smith SM
Cell reports (2023) 423: 112247. 101 011 ICC; tested species: mouse
Molecular definition of distinct active zone protein machineries for Ca2+ channel clustering and synaptic vesicle priming.
Emperador-Melero J, Andersen JW, Metzbower SR, Levy AD, Dharmasri PA, de Nola G, Blanpied TA, Kaeser PS
bioRxiv : the preprint server for biology (2023) : . 101 011 WB, ICC; tested species: mouse
S-SCAM is essential for synapse formation.
Wittenmayer N, Petkova-Tuffy A, Borgmeyer M, Lee C, Becker J, Böning A, Kügler S, Rhee J, Viotti JS, Dresbach T
Frontiers in cellular neuroscience (2023) 17: 1182493. 101 011 ICC; tested species: rat
Prion protein conversion at two distinct cellular sites precedes fibrillisation.
Ribes JM, Patel MP, Halim HA, Berretta A, Tooze SA, Klöhn PC
Nature communications (2023) 141: 8354. 101 011 ICC; tested species: mouse
The ER ladder is a unique morphological feature of developing mammalian axons.
Zamponi E, Meehl JB, Voeltz GK
Developmental cell (2022) 5711: 1369-1382.e6. 101 011 WB, ICC; tested species: rat
Clathrin-independent endocytic retrieval of SV proteins mediated by the clathrin adaptor AP-2 at mammalian central synapses.
López-Hernández T, Takenaka KI, Mori Y, Kongpracha P, Nagamori S, Haucke V, Takamori S
eLife (2022) 11: . 101 011 ICC; tested species: mouse
Endosomal phosphatidylinositol 3-phosphate controls synaptic vesicle cycling and neurotransmission.
Liu GT, Kochlamazashvili G, Puchkov D, Müller R, Schultz C, Mackintosh AI, Vollweiter D, Haucke V, Soykan T
The EMBO journal (2022) : e109352. 101 011 ICC; tested species: rat
Neuronal F-Box protein FBXO41 regulates synaptic transmission and hippocampal network maturation.
Quadros ARAA, Arazola RD, Álvarez AR, Pires J, Meredith RM, Saarloos I, Verhage M, Toonen RF
iScience (2022) 254: 104069. 101 011 ICC; tested species: mouse
Altered resting-state functional connectivity in hiPSCs-derived neuronal networks from schizophrenia patients.
Puvogel S, Blanchard K, Casas BS, Miller RL, Garrido-Jara D, Arizabalos S, Rehen SK, Sanhueza M, Palma V
Frontiers in cell and developmental biology (2022) 10: 935360. 101 011 ICC; tested species: human
Identification of substrates of palmitoyl protein thioesterase 1 highlights roles of depalmitoylation in disulfide bond formation and synaptic function.
Gorenberg EL, Massaro Tieze S, Yücel B, Zhao HR, Chou V, Wirak GS, Tomita S, Lam TT, Chandra SS
PLoS biology (2022) 203: e3001590. 101 011 WB, ICC; tested species: mouse
PKC-phosphorylation of Liprin-α3 triggers phase separation and controls presynaptic active zone structure.
Emperador-Melero J, Wong MY, Wang SSH, de Nola G, Nyitrai H, Kirchhausen T, Kaeser PS
Nature communications (2021) 121: 3057. 101 011 WB, ICC; tested species: mouse
TRPM7 is critical for short-term synaptic depression by regulating synaptic vesicle endocytosis.
Jiang ZJ, Li W, Yao LH, Saed B, Rao Y, Grewe BS, McGinley A, Varga K, Alford S, Hu YS, Gong LW, et al.
eLife (2021) 10: . 101 011 ICC; tested species: mouse
Localization, proteomics, and metabolite profiling reveal a putative vesicular transporter for UDP-glucose.
Qian C, Wu Z, Sun R, Yu H, Zeng J, Rao Y, Li Y
eLife (2021) 10: . 101 011 WB, ICC; tested species: mouse
Cannabinoid receptor activation acutely increases synaptic vesicle numbers by activating synapsins in human synapses.
Patzke C, Dai J, Brockmann MM, Sun Z, Fenske P, Rosenmund C, Südhof TC
Molecular psychiatry (2021) : . 101 011 WB, ICC; tested species: human
Multiomics of synaptic junctions reveals altered lipid metabolism and signaling following environmental enrichment.
Borgmeyer M, Coman C, Has C, Schött HF, Li T, Westhoff P, Cheung YFH, Hoffmann N, Yuanxiang P, Behnisch T, Gomes GM, et al.
Cell reports (2021) 371: 109797. 101 011 ICC, IHC; tested species: mouse,rat
Heterogeneity of neurons reprogrammed from spinal cord astrocytes by the proneural factors Ascl1 and Neurogenin2.
Kempf J, Knelles K, Hersbach BA, Petrik D, Riedemann T, Bednarova V, Janjic A, Simon-Ebert T, Enard W, Smialowski P, Götz M, et al.
Cell reports (2021) 363: 109409. 101 011 ICC; tested species: mouse
Synaptophysin Regulates Fusion Pores and Exocytosis Mode in Chromaffin Cells.
Chang CW, Hsiao YT, Jackson MB
The Journal of neuroscience : the official journal of the Society for Neuroscience (2021) : . 101 011 ICC; KO verified; tested species: mouse
Cooperative function of synaptophysin and synapsin in the generation of synaptic vesicle-like clusters in non-neuronal cells.
Park D, Wu Y, Lee SE, Kim G, Jeong S, Milovanovic D, Camilli P, Chang S
Nature communications (2021) 121: 263. 101 011 WB, ICC; tested species: cos cells
The soluble neurexin-1β ectodomain causes calcium influx and augments dendritic outgrowth and synaptic transmission.
Wierda KDB, Toft-Bertelsen TL, Gøtzsche CR, Pedersen E, Korshunova I, Nielsen J, Bang ML, Kønig AB, Owczarek S, Gjørlund MD, Schupp M, et al.
Scientific reports (2020) 101: 18041. 101 011 ICC; tested species: rat
Parkin contributes to synaptic vesicle autophagy in Bassoon-deficient mice.
Hoffmann-Conaway S, Brockmann MM, Schneider K, Annamneedi A, Rahman KA, Bruns C, Textoris-Taube K, Trimbuch T, Smalla KH, Rosenmund C, Gundelfinger ED, et al.
eLife (2020) 9: . 101 011 ICC; tested species: mouse
Autaptic cultures of human induced neurons as a versatile platform for studying synaptic function and neuronal morphology.
Fenske P, Grauel MK, Brockmann MM, Dorrn AL, Trimbuch T, Rosenmund C
Scientific reports (2019) 91: 4890. 101 011 ICC; tested species: human
Biallelic DMXL2 mutations impair autophagy and cause Ohtahara syndrome with progressive course.
Esposito A, Falace A, Wagner M, Gal M, Mei D, Conti V, Pisano T, Aprile D, Cerullo MS, De Fusco A, Giovedì S, et al.
Brain : a journal of neurology (2019) : . 101 011 ICC; tested species: mouse
Neuromodulator Signaling Bidirectionally Controls Vesicle Numbers in Human Synapses.
Patzke C, Brockmann MM, Dai J, Gan KJ, Grauel MK, Fenske P, Liu Y, Acuna C, Rosenmund C, Südhof TC
Cell (2019) 1792: 498-513.e22. 101 011 WB, ICC; tested species: mouse
Critical role for piccolo in synaptic vesicle retrieval.
Ackermann F, Schink KO, Bruns C, Izsvák Z, Hamra FK, Rosenmund C, Garner CC
eLife (2019) 8: . 101 011 WB, ICC; tested species: rat
Expression of plasma membrane calcium ATPases confers Ca2+/H+ exchange in rodent synaptic vesicles.
Ono Y, Mori Y, Egashira Y, Sumiyama K, Takamori S
Scientific reports (2019) 91: 4289. 101 011 WB, ICC; tested species: mouse
Light-activated ROS production induces synaptic autophagy.
Hoffmann S, Orlando M, Andrzejak E, Bruns C, Trimbuch T, Rosenmund C, Garner CC, Ackermann F
The Journal of neuroscience : the official journal of the Society for Neuroscience (2019) : . 101 011 WB, ICC; tested species: mouse
Newly produced synaptic vesicle proteins are preferentially used in synaptic transmission.
Truckenbrodt S, Viplav A, Jähne S, Vogts A, Denker A, Wildhagen H, Fornasiero EF, Rizzoli SO
The EMBO journal (2018) : . 101 011 ICC; tested species: rat
Synaptic nanomodules underlie the organization and plasticity of spine synapses.
Hruska M, Henderson N, Le Marchand SJ, Jafri H, Dalva MB
Nature neuroscience (2018) 215: 671-682. 101 011 ICC; tested species: rat
Soluble Aβ1-42increases the heterogeneity in synaptic vesicle pool size among synapses by suppressing intersynaptic vesicle sharing.
Park D, Chang S
Molecular brain (2018) 111: 10. 101 011 ICC; tested species: rat
Synaptotagmin-3 drives AMPA receptor endocytosis, depression of synapse strength, and forgetting.
Awasthi A, Ramachandran B, Ahmed S, Benito E, Shinoda Y, Nitzan N, Heukamp A, Rannio S, Martens H, Barth J, Burk K, et al.
Science (New York, N.Y.) (2018) : . 101 011 WB, ICC; tested species: rat
Bassoon Controls Presynaptic Autophagy through Atg5.
Okerlund ND, Schneider K, Leal-Ortiz S, Montenegro-Venegas C, Kim SA, Garner LC, Waites CL, Gundelfinger ED, Reimer RJ, Garner CC
Neuron (2018) 973: 727. 101 011 ICC; tested species: mouse
Bassoon Controls Presynaptic Autophagy through Atg5.
Okerlund ND, Schneider K, Leal-Ortiz S, Montenegro-Venegas C, Kim SA, Garner LC, Waites CL, Gundelfinger ED, Reimer RJ, Garner CC
Neuron (2017) 934: 897-913.e7. 101 011 ICC; tested species: mouse
Heteromeric channels formed by TRPC1, TRPC4 and TRPC5 define hippocampal synaptic transmission and working memory.
Bröker-Lai J, Kollewe A, Schindeldecker B, Pohle J, Nguyen Chi V, Mathar I, Guzman R, Schwarz Y, Lai A, Weißgerber P, Schwegler H, et al.
The EMBO journal (2017) 3618: 2770-2789. 101 011 ICC; tested species: mouse
The Kohlschütter-Tönz syndrome associated gene Rogdi encodes a novel presynaptic protein.
Riemann D, Wallrafen R, Dresbach T
Scientific reports (2017) 71: 15791. 101 011 ICC; tested species: rat
Microtubule-associated protein 1B (MAP1B)-deficient neurons show structural presynaptic deficiencies in vitro and altered presynaptic physiology.
Bodaleo FJ, Montenegro-Venegas C, Henríquez DR, Court FA, Gonzalez-Billault C
Scientific reports (2016) 6: 30069. 101 011 WB, ICC
Synaptophysin 1 Clears Synaptobrevin 2 from the Presynaptic Active Zone to Prevent Short-Term Depression.
Rajappa R, Gauthier-Kemper A, Böning D, Hüve J, Klingauf J
Cell reports (2016) 146: 1369-1381. 101 011 WB, ICC; tested species: rat
Electrical Responses and Spontaneous Activity of Human iPS-Derived Neuronal Networks Characterized for 3-month Culture with 4096-Electrode Arrays.
Amin H, Maccione A, Marinaro F, Zordan S, Nieus T, Berdondini L
Frontiers in neuroscience (2016) 10: 121. 101 011 ICC; tested species: human
Brefeldin A-inhibited guanine nucleotide exchange protein 3 is localized in lysosomes and regulates GABA signaling in hippocampal neurons.
Liu T, Li H, Hong W, Han W
Journal of neurochemistry (2016) 1395: 748-756. 101 011 ICC
Synaptic vesicle glycoprotein 2A modulates vesicular release and calcium channel function at peripheral sympathetic synapses.
Vogl C, Tanifuji S, Danis B, Daniels V, Foerch P, Wolff C, Whalley BJ, Mochida S, Stephens GJ
The European journal of neuroscience (2015) 414: 398-409. 101 011 ICC; KD verified; tested species: rat
The GTPase Rab26 links synaptic vesicles to the autophagy pathway.
Binotti B, Pavlos NJ, Riedel D, Wenzel D, Vorbrüggen G, Schalk AM, Kühnel K, Boyken J, Erck C, Martens H, Chua JJ, et al.
eLife (2015) 4: e05597. 101 011 ICC
Evaluation of established human iPSC-derived neurons to model neurodegenerative diseases.
Meneghello G, Verheyen A, Van Ingen M, Kuijlaars J, Tuefferd M, Van Den Wyngaert I, Nuydens R
Neuroscience (2015) 301: 204-12. 101 011 ICC; tested species: human
Nonsynaptic junctions on myelinating glia promote preferential myelination of electrically active axons.
Wake H, Ortiz FC, Woo DH, Lee PR, Angulo MC, Fields RD
Nature communications (2015) 6: 7844. 101 011 ICC
Composition of isolated synaptic boutons reveals the amounts of vesicle trafficking proteins.
Wilhelm BG, Mandad S, Truckenbrodt S, Kröhnert K, Schäfer C, Rammner B, Koo SJ, Claßen GA, Krauss M, Haucke V, Urlaub H, et al.
Science (New York, N.Y.) (2014) 3446187: 1023-8. 101 011 WB, ICC, IHC; tested species: mouse,rat
Prion protein accumulation in lipid rafts of mouse aging brain.
Agostini F, Dotti CG, Pérez-Cañamás A, Ledesma MD, Benetti F, Legname G
PloS one (2013) 89: e74244. 101 011 ICC; tested species: rat
Point mutation in syntaxin-1A causes abnormal vesicle recycling, behaviors, and short term plasticity.
Watanabe Y, Katayama N, Takeuchi K, Togano T, Itoh R, Sato M, Yamazaki M, Abe M, Sato T, Oda K, Yokoyama M, et al.
The Journal of biological chemistry (2013) 28848: 34906-19. 101 011 ICC; tested species: mouse
Seipin regulates excitatory synaptic transmission in cortical neurons.
Wei S, Soh SL, Qiu W, Yang W, Seah CJ, Guo J, Ong WY, Pang ZP, Han W
Journal of neurochemistry (2013) 1244: 478-89. 101 011 ICC
Glycosylation is dispensable for sorting of synaptotagmin 1 but is critical for targeting of SV2 and synaptophysin to recycling synaptic vesicles.
Kwon SE, Chapman ER
The Journal of biological chemistry (2012) 28742: 35658-68. 101 011 ICC
Tetanus toxin and botulinum toxin a utilize unique mechanisms to enter neurons of the central nervous system.
Blum FC, Chen C, Kroken AR, Barbieri JT
Infection and immunity (2012) 805: 1662-9. 101 011 ICC
Minimal essential length of Clostridium botulinum C3 peptides to enhance neuronal regenerative growth and connectivity in a non-enzymatic mode.
Loske P, Boato F, Hendrix S, Piepgras J, Just I, Ahnert-Hilger G, Höltje M
Journal of neurochemistry (2012) 1206: 1084-96. 101 011 ICC; tested species: mouse
CDKL5 ensures excitatory synapse stability by reinforcing NGL-1-PSD95 interaction in the postsynaptic compartment and is impaired in patient iPSC-derived neurons.
Ricciardi S, Ungaro F, Hambrock M, Rademacher N, Stefanelli G, Brambilla D, Sessa A, Magagnotti C, Bachi A, Giarda E, Verpelli C, et al.
Nature cell biology (2012) 149: 911-23. 101 011 WB, ICC; tested species: mouse
VAMP4 directs synaptic vesicles to a pool that selectively maintains asynchronous neurotransmission.
Raingo J, Khvotchev M, Liu P, Darios F, Li YC, Ramirez DM, Adachi M, Lemieux P, Toth K, Davletov B, Kavalali ET, et al.
Nature neuroscience (2012) 155: 738-45. 101 011 ICC
SV31 is a Zn2+-binding synaptic vesicle protein.
Barth J, Zimmermann H, Volknandt W
Journal of neurochemistry (2011) 1184: 558-70. 101 011 WB, ICC
N-cofilin can compensate for the loss of ADF in excitatory synapses.
Görlich A, Wolf M, Zimmermann AM, Gurniak CB, Al Banchaabouchi M, Sassoè-Pognetto M, Witke W, Friauf E, Rust MB
PloS one (2011) 610: e26789. 101 011 ICC; tested species: mouse
Synaptic membrane proteins form stable microdomains in early endosomes.
Geumann U, Schäfer C, Riedel D, Jahn R, Rizzoli SO
Microscopy research and technique (2010) 736: 606-17. 101 011 ICC, EM
CAPS-1 and CAPS-2 are essential synaptic vesicle priming proteins.
Jockusch WJ, Speidel D, Sigler A, Sørensen JB, Varoqueaux F, Rhee JS, Brose N
Cell (2007) 1314: 796-808. 101 011 ICC
EBAG9 adds a new layer of control on large dense-core vesicle exocytosis via interaction with Snapin.
Rüder C, Reimer T, Delgado-Martinez I, Hermosilla R, Engelsberg A, Nehring R, Dörken B, Rehm A
Molecular biology of the cell (2005) 163: 1245-57. 101 011 WB, ICC; tested species: human
Gene profiling of hippocampal neuronal culture.
Dabrowski M, Aerts S, Van Hummelen P, Craessaerts K, De Moor B, Annaert W, Moreau Y, De Strooper B
Journal of neurochemistry (2003) 855: 1279-88. 101 011 ICC; tested species: mouse
Morphological and molecular heterogeneity in release sites of single neurons.
Morgenthaler FD, Knott GW, Floyd Sarria JC, Wang X, Staple JK, Catsicas S, Hirling H
The European journal of neuroscience (2003) 177: 1365-74. 101 011 ICC
Comparing Functional Consequences of Human iPSC-Microglia and Neural Stem Cell-Derived Extracellular Vesicles in Mitigating Cognitive Decline in Alzheimer's Disease.
Krattli RP, Markarian M, Madan S, Swami D, McQuade A, Baulch JE, Blurton-Jones M, Acharya MM
Aging cell (2026) 251: e70341. 101 011 IHC; tested species: mouse
Disrupted Motor Neuron and Neuromuscular Junction Development in an Albino Mice Model of Infantile Nystagmus.
Vemula S, Osman A, Yang X, Aronchik G, Martinez Sanchez M, Meher N, Whitman MC
Investigative ophthalmology & visual science (2025) 669: 25. 101 011 IHC; tested species: mouse
Pharmacological Inhibition of Mitochondrial Division Attenuates Simulated High-Altitude Exposure-Induced Memory Impairment in Mice: Involvement of Inhibition of Microglia-Mediated Synapse Elimination.
Chang P, Xu M, Zhu J, Bian J, Lu Y, Luo Q, Wang D, Zhu L
CNS neuroscience & therapeutics (2025) 316: e70473. 101 011 IHC; tested species: mouse
Microglial activation and hypothalamic structural plasticity in HFD obesity: insights from semaglutide and minocycline.
Rong X, Wei F, Jiang Y, Ma Q, Wang D, Shen J
Journal of lipid research (2024) 662: 100736. 101 011 WB, IHC; tested species: mouse
Reversal of cognitive deficits in FUSR521G amyotrophic lateral sclerosis mice by arimoclomol and a class I histone deacetylase inhibitor independent of heat shock protein induction.
Pelaez MC, Fiore F, Larochelle N, Dabbaghizadeh A, Comaduran MF, Arbour D, Minotti S, Marcadet L, Semaan M, Robitaille R, Nalbantoglu JN, et al.
Neurotherapeutics : the journal of the American Society for Experimental NeuroTherapeutics (2024) : e00388. 101 011 IHC; tested species: mouse
Experience-dependent flexibility in a molecularly diverse central-to-peripheral auditory feedback system.
Frank MM, Sitko AA, Suthakar K, Torres Cadenas L, Hunt M, Yuk MC, Weisz CJC, Goodrich LV
eLife (2023) 12: . 101 011 IHC; tested species: mouse
Loss of the parkinsonism-associated protein FBXO7 in glutamatergic forebrain neurons in mice leads to abnormal motor behavior and synaptic defects.
Wang J, Joseph S, Vingill S, Dere E, Tatenhorst L, Ronnenberg A, Lingor P, Preisinger C, Ehrenreich H, Schulz JB, Stegmüller J, et al.
Journal of neurochemistry (2023) : . 101 011 IHC; tested species: mouse
Loss of NDR1/2 kinases impairs endomembrane trafficking and autophagy leading to neurodegeneration.
Roşianu F, Mihaylov SR, Eder N, Martiniuc A, Claxton S, Flynn HR, Jalal S, Domart MC, Collinson L, Skehel M, Snijders AP, et al.
Life science alliance (2023) 62: . 101 011 IHC; tested species: mouse
The first synapse in vision in the aging mouse retina.
Gierke K, Lux UT, Regus-Leidig H, Brandstätter JH
Frontiers in cellular neuroscience (2023) 17: 1291054. 101 011 IHC; tested species: mouse
Probucol treatment after traumatic brain injury activates BDNF/TrkB pathway, promotes neuroregeneration and ameliorates functional deficits in mice.
Chen CM, Gung PY, Ho YC, Hamdin CD, Yet SF
British journal of pharmacology (2023) 18020: 2605-2622. 101 011 IHC; tested species: mouse
Brain-wide Cas9-mediated cleavage of a gene causing familial Alzheimer's disease alleviates amyloid-related pathologies in mice.
Duan Y, Ye T, Qu Z, Chen Y, Miranda A, Zhou X, Lok KC, Chen Y, Fu AKY, Gradinaru V, Ip NY, et al.
Nature biomedical engineering (2021) : . 101 011 IHC; tested species: mouse
Multiomics of synaptic junctions reveals altered lipid metabolism and signaling following environmental enrichment.
Borgmeyer M, Coman C, Has C, Schött HF, Li T, Westhoff P, Cheung YFH, Hoffmann N, Yuanxiang P, Behnisch T, Gomes GM, et al.
Cell reports (2021) 371: 109797. 101 011 ICC, IHC; tested species: mouse,rat
Axon terminals control endolysosome diffusion to support synaptic remodelling.
Terni B, Llobet A
Life science alliance (2021) 48: . 101 011 IHC; tested species: frog
Chronic adolescent stress causes sustained impairment of cognitive flexibility and hippocampal synaptic strength in female rats.
Hyer MM, Shaw GA, Goswamee P, Dyer SK, Burns CM, Soriano E, Sanchez CS, Rowson SA, McQuiston AR, Neigh GN
Neurobiology of stress (2021) 14: 100303. 101 011 IHC; tested species: rat
Palmitoylethanolamide counteracts brain fog improving depressive-like behaviour in obese mice: Possible role of synaptic plasticity and neurogenesis.
Lama A, Pirozzi C, Annunziata C, Morgese MG, Senzacqua M, Severi I, Calignano A, Trabace L, Giordano A, Meli R, Mattace Raso G, et al.
British journal of pharmacology (2021) 1784: 845-859. 101 011 IHC; tested species: mouse
Vesicular Glutamate Transporter Expression Ensures High-Fidelity Synaptic Transmission at the Calyx of Held Synapses.
Nakakubo Y, Abe S, Yoshida T, Takami C, Isa M, Wojcik SM, Brose N, Takamori S, Hori T
Cell reports (2020) 327: 108040. 101 011 IHC; tested species: mouse
Proteomic analysis of subcellular compartments containing disseminated alpha-synuclein seeds.
Kasahara J, Imamura Y, Hiyama A, Yamanaka T, Miyazaki H, Nukina N
Neuroscience research (2020) : . 101 011 WB, IHC; tested species: mouse
Nutrient sensing in the nucleus of the solitary tract mediates non-aversive suppression of feeding via inhibition of AgRP neurons.
Tsang AH, Nuzzaci D, Darwish T, Samudrala H, Blouet C
Molecular metabolism (2020) 42: 101070. 101 011 IHC; tested species: mouse
Innervation of GnRH neuron distal projections and activation by kisspeptin in a new GnRH-Cre rat model.
Yip SH, Campos P, Liu X, Porteous R, Herbison AE
Endocrinology (2020) : . 101 011 IHC; tested species: rat
Retinal inputs signal astrocytes to recruit interneurons into visual thalamus.
Su J, Charalambakis NE, Sabbagh U, Somaiya RD, Monavarfeshani A, Guido W, Fox MA
Proceedings of the National Academy of Sciences of the United States of America (2020) : . 101 011 IHC; tested species: mouse
Paradoxical effects of continuous high dose gabapentin treatment on autonomic dysreflexia after complete spinal cord injury.
Eldahan KC, Williams HC, Cox DH, Gollihue JL, Patel SP, Rabchevsky AG
Experimental neurology (2019) 323: 113083. 101 011 IHC; tested species: rat
Vaccinia-related kinase 2 plays a critical role in microglia-mediated synapse elimination during neurodevelopment.
Lee J, Lee S, Ryu YJ, Lee D, Kim S, Seo JY, Oh E, Paek SH, Kim SU, Ha CM, Choi SY, et al.
Glia (2019) : . 101 011 IHC; tested species: mouse
Central expression of synaptophysin and synaptoporin in nociceptive afferent subtypes in the dorsal horn.
Chung J, Franklin JF, Lee HJ
Scientific reports (2019) 91: 4273. 101 011 IHC; tested species: rat
Conditional BDNF Delivery from Astrocytes Rescues Memory Deficits, Spine Density, and Synaptic Properties in the 5xFAD Mouse Model of Alzheimer Disease.
de Pins B, Cifuentes-Díaz C, Farah AT, López-Molina L, Montalban E, Sancho-Balsells A, López A, Ginés S, Delgado-García JM, Alberch J, Gruart A, et al.
The Journal of neuroscience : the official journal of the Society for Neuroscience (2019) 3913: 2441-2458. 101 011 IHC; tested species: mouse
Transmission Disrupted: Modeling Auditory Synaptopathy in Zebrafish.
Kindt KS, Sheets L
Frontiers in cell and developmental biology (2018) 6: 114. 101 011 IHC; tested species: zebrafish
Re-evaluation of neuronal P2X7 expression using novel mouse models and a P2X7-specific nanobody.
Kaczmarek-Hajek K, Zhang J, Kopp R, Grosche A, Rissiek B, Saul A, Bruzzone S, Engel T, Jooss T, Krautloher A, Schuster S, et al.
eLife (2018) 7: . 101 011 IHC; tested species: mouse
Persistent sodium current drives excitability of immature Renshaw cells in early embryonic spinal networks.
Boeri J, Le Corronc H, Xavier Lejeune F, Le Bras B, Mouffle C, Angelim MKSC, Marie Mangin J, Branchereau P, Legendre P, Czarnecki A A
The Journal of neuroscience : the official journal of the Society for Neuroscience (2018) : . 101 011 IHC; tested species: mouse
Regulation of body weight and energy homeostasis by neuronal cell adhesion molecule 1.
Rathjen T, Yan X, Kononenko NL, Ku MC, Song K, Ferrarese L, Tarallo V, Puchkov D, Kochlamazashvili G, Brachs S, Varela L, et al.
Nature neuroscience (2017) 208: 1096-1103. 101 011 IHC; tested species: mouse
Tight temporal coupling between synaptic rewiring of olfactory glomeruli and the emergence of odor-guided behavior in Xenopus tadpoles.
Terni B, Pacciolla P, Masanas H, Gorostiza P, Llobet A
The Journal of comparative neurology (2017) 52517: 3769-3783. 101 011 IHC; tested species: frog
Hallmarks of Alzheimer's Disease in Stem-Cell-Derived Human Neurons Transplanted into Mouse Brain.
Espuny-Camacho I, Arranz AM, Fiers M, Snellinx A, Ando K, Munck S, Bonnefont J, Lambot L, Corthout N, Omodho L, Vanden Eynden E, et al.
Neuron (2017) 935: 1066-1081.e8. 101 011 IHC; tested species: human,mouse
Coexpression of auxiliary subunits KChIP and DPPL in potassium channel Kv4-positive nociceptors and pain-modulating spinal interneurons.
Cheng CF, Wang WC, Huang CY, Du PH, Yang JH, Tsaur ML
The Journal of comparative neurology (2016) 5244: 846-73. 101 011 IHC; tested species: rat
A lack of immune system genes causes loss in high frequency hearing but does not disrupt cochlear synapse maturation in mice.
Calton MA, Lee D, Sundaresan S, Mendus D, Leu R, Wangsawihardja F, Johnson KR, Mustapha M
PloS one (2014) 95: e94549. 101 011 IHC; tested species: mouse
Composition of isolated synaptic boutons reveals the amounts of vesicle trafficking proteins.
Wilhelm BG, Mandad S, Truckenbrodt S, Kröhnert K, Schäfer C, Rammner B, Koo SJ, Claßen GA, Krauss M, Haucke V, Urlaub H, et al.
Science (New York, N.Y.) (2014) 3446187: 1023-8. 101 011 WB, ICC, IHC; tested species: mouse,rat
Tissue multicolor STED nanoscopy of presynaptic proteins in the calyx of Held.
Kempf C, Staudt T, Bingen P, Horstmann H, Engelhardt J, Hell SW, Kuner T
PloS one (2013) 84: e62893. 101 011 IHC; tested species: rat
In vivo analysis of Lrig genes reveals redundant and independent functions in the inner ear.
Del Rio T, Nishitani AM, Yu WM, Goodrich LV
PLoS genetics (2013) 99: e1003824. 101 011 IHC; tested species: mouse
Neonatal leptin exposure specifies innervation of presympathetic hypothalamic neurons and improves the metabolic status of leptin-deficient mice.
Bouyer K, Simerly RB
The Journal of neuroscience : the official journal of the Society for Neuroscience (2013) 332: 840-51. 101 011 IHC; tested species: mouse
Overactivation of Notch1 signaling induces ectopic hair cells in the mouse inner ear in an age-dependent manner.
Liu Z, Owen T, Fang J, Zuo J
PloS one (2012) 73: e34123. 101 011 IHC; tested species: mouse
Target-derived matricryptins organize cerebellar synapse formation through α3β1 integrins.
Su J, Stenbjorn RS, Gorse K, Su K, Hauser KF, Ricard-Blum S, Pihlajaniemi T, Fox MA
Cell reports (2012) 22: 223-30. 101 011 IHC; tested species: mouse
Cadm1-expressing synapses on Purkinje cell dendrites are involved in mouse ultrasonic vocalization activity.
Fujita E, Tanabe Y, Imhof BA, Momoi MY, Momoi T
PloS one (2012) 71: e30151. 101 011 IHC; tested species: mouse
Impaired development of hippocampal mossy fibre synapses in mouse mutants for the presynaptic scaffold protein Bassoon.
Lanore F, Blanchet C, Fejtova A, Pinheiro P, Richter K, Balschun D, Gundelfinger E, Mulle C
The Journal of physiology (2010) 588Pt 12: 2133-45. 101 011 IHC; tested species: mouse
Unique luminal localization of VGAT-C terminus allows for selective labeling of active cortical GABAergic synapses.
Martens H, Weston MC, Boulland JL, Grønborg M, Grosche J, Kacza J, Hoffmann A, Matteoli M, Takamori S, Harkany T, Chaudhry FA, et al.
The Journal of neuroscience : the official journal of the Society for Neuroscience (2008) 2849: 13125-31. 101 011 IHC; tested species: rat
Binding to Rab3A-interacting molecule RIM regulates the presynaptic recruitment of Munc13-1 and ubMunc13-2.
Andrews-Zwilling YS, Kawabe H, Reim K, Varoqueaux F, Brose N
The Journal of biological chemistry (2006) 28128: 19720-31. 101 011 IHC; tested species: mouse
Two ribeye genes in teleosts: the role of Ribeye in ribbon formation and bipolar cell development.
Wan L, Almers W, Chen W
The Journal of neuroscience : the official journal of the Society for Neuroscience (2005) 254: 941-9. 101 011 IHC; tested species: zebrafish
gemini encodes a zebrafish L-type calcium channel that localizes at sensory hair cell ribbon synapses.
Sidi S, Busch-Nentwich E, Friedrich R, Schoenberger U, Nicolson T
The Journal of neuroscience : the official journal of the Society for Neuroscience (2004) 2417: 4213-23. 101 011 IHC; tested species: zebrafish
SV2B regulates synaptotagmin 1 by direct interaction.
Lazzell DR, Belizaire R, Thakur P, Sherry DM, Janz R
The Journal of biological chemistry (2004) 27950: 52124-31. 101 011 WB, IP, IHC
The expression pattern and assembly profile of synaptic membrane proteins in ribbon synapses of the developing mouse retina.
von Kriegstein K, Schmitz F
Cell and tissue research (2003) 3112: 159-73. 101 011 IHC
Distribution of synaptic vesicle proteins in the mammalian retina identifies obligatory and facultative components of ribbon synapses.
Von Kriegstein K, Schmitz F, Link E, Südhof TC
The European journal of neuroscience (1999) 114: 1335-48. 101 011 WB, IHC
Synaptic membrane proteins form stable microdomains in early endosomes.
Geumann U, Schäfer C, Riedel D, Jahn R, Rizzoli SO
Microscopy research and technique (2010) 736: 606-17. 101 011 ICC, EM
Synapsin-dependent reserve pool of synaptic vesicles supports replenishment of the readily releasable pool under intense synaptic transmission.
Vasileva M, Horstmann H, Geumann C, Gitler D, Kuner T
The European journal of neuroscience (2012) 368: 3005-20. 101 011 ELISA
Endosomal sorting of readily releasable synaptic vesicles.
Hoopmann P, Punge A, Barysch SV, Westphal V, Bückers J, Opazo F, Bethani I, Lauterbach MA, Hell SW, Rizzoli SO
Proceedings of the National Academy of Sciences of the United States of America (2010) 10744: 19055-60. 101 011
A 38,000-dalton membrane protein (p38) present in synaptic vesicles.
Jahn R, Schiebler W, Ouimet C, Greengard P
Proceedings of the National Academy of Sciences of the United States of America (1985) 8212: 4137-41. 101 011
Cat. No.: 101 011
Amount: 50 µg
Price: $440.00
Mitochondrial Ca2+ efflux controls neuronal metabolism and long-term memory across species.
Amrapali Vishwanath A, Comyn T, Mira RG, Brossier C, Pascual-Caro C, Faour M, Boumendil K, Chintaluri C, Ramon-Duaso C, Fan R, Ghosh K, et al.
Nature metabolism (2026) 82: 467-488. 101 011 WB; tested species: rat
Activation of GluN2D-containing NMDA receptors promotes development of axons and axon-carrying dendrites of cortical interneurons.
Köhler I, Rennau LM, Hoffmann L, Demianchuk E, Kaczmarski M, Sobierajski E, Riedel C, Wahle P
Cerebral cortex (New York, N.Y. : 1991) (2025) 356: . 101 011 WB; tested species: rat
Expression of synaptic proteins and development of dendritic spines in fetal and postnatal neocortex of the pig, the European wild boar Sus scrofa.
Sobierajski E, Czubay K, Schmidt MR, Wiedenski S, Rettschlag S, Beemelmans C, Beemelmans C, Wahle P
Brain structure & function (2025) 2302: 38. 101 011 WB; tested species: pig
Mouse-derived Synaptosomes Trypsin Cleavage Assay to Characterize Synaptic Protein Sub-localization.
Shergill JK, Tehran DA
Bio-protocol (2025) 152: e5164. 101 011 WB; tested species: mouse
TBC1D24 interacts with the v-ATPase and regulates intraorganellar pH in neurons.
Pepe S, Aprile D, Castroflorio E, Marte A, Giubbolini S, Hopestone S, Parsons A, Soares T, Benfenati F, Oliver PL, Fassio A, et al.
iScience (2025) 281: 111515. 101 011 WB; tested species: mouse
STON2 variations are involved in synaptic dysfunction and schizophrenia-like behaviors by regulating Syt1 trafficking.
Ma Y, Gao K, Sun X, Wang J, Yang Y, Wu J, Chai A, Yao L, Liu N, Yu H, Su Y, et al.
Science bulletin (2024) : . 101 011 WB; tested species: mouse
Microglial activation and hypothalamic structural plasticity in HFD obesity: insights from semaglutide and minocycline.
Rong X, Wei F, Jiang Y, Ma Q, Wang D, Shen J
Journal of lipid research (2024) 662: 100736. 101 011 WB, IHC; tested species: mouse
CTNND2 moderates the pace of synaptic maturation and links human evolution to synaptic neoteny.
Assendorp N, Fossati M, Libé-Philippot B, Christopoulou E, Depp M, Rapone R, Dingli F, Loew D, Vanderhaeghen P, Charrier C
Cell reports (2024) 4310: 114797. 101 011 WB; tested species: human,mouse
Monitoring of activity-driven trafficking of endogenous synaptic proteins through proximity labeling.
Pascual-Caro C, de Juan-Sanz J
PLoS biology (2024) 2210: e3002860. 101 011 WB; tested species: rat
EHBP1 Is Critically Involved in the Dendritic Arbor Formation and Is Coupled to Factors Promoting Actin Filament Formation.
Ji Y, Izadi-Seitz M, Landmann A, Schwintzer L, Qualmann B, Kessels MM
The Journal of neuroscience : the official journal of the Society for Neuroscience (2024) 446: . 101 011 WB; tested species: rat
Local mitochondrial replication in the periphery of neurons requires the eEF1A1 protein and thetranslation of nuclear-encoded proteins.
Cardanho-Ramos C, Simões RA, Wang YZ, Faria-Pereira A, Bomba-Warczak E, Craessaerts K, Spinazzi M, Savas JN, Morais VA
iScience (2024) 274: 109136. 101 011 WB; tested species: mouse
Liprin-α proteins are master regulators of human presynapse assembly.
Marcó de la Cruz B, Campos J, Molinaro A, Xie X, Jin G, Wei Z, Acuna C, Sterky FH
Nature neuroscience (2024) : . 101 011 WB, ICC; tested species: human
Synaptic neoteny of human cortical neurons requires species-specific balancing of SRGAP2-SYNGAP1 cross-inhibition.
Libé-Philippot B, Iwata R, Recupero AJ, Wierda K, Bernal Garcia S, Hammond L, van Benthem A, Limame R, Ditkowska M, Beckers S, Gaspariunaite V, et al.
Neuron (2024) : . 101 011 WB; tested species: human
Purification of time-resolved insulin granules reveals proteomic and lipidomic changes during granule aging.
Neukam M, Sala P, Brunner AD, Ganß K, Palladini A, Grzybek M, Topcheva O, Vasiljević J, Broichhagen J, Johnsson K, Kurth T, et al.
Cell reports (2024) 433: 113836. 101 011 WB; tested species: mouse
Molecular definition of distinct active zone protein machineries for Ca2+ channel clustering and synaptic vesicle priming.
Emperador-Melero J, Andersen JW, Metzbower SR, Levy AD, Dharmasri PA, de Nola G, Blanpied TA, Kaeser PS
bioRxiv : the preprint server for biology (2023) : . 101 011 WB, ICC; tested species: mouse
Autophagy enables microglia to engage amyloid plaques and prevents microglial senescence.
Choi I, Wang M, Yoo S, Xu P, Seegobin SP, Li X, Han X, Wang Q, Peng J, Zhang B, Yue Z, et al.
Nature cell biology (2023) 257: 963-974. 101 011 WB; tested species: mouse
A defined roadmap of radial glia and astrocyte differentiation from human pluripotent stem cells.
Jovanovic VM, Weber C, Slamecka J, Ryu S, Chu PH, Sen C, Inman J, De Sousa JF, Barnaeva E, Hirst M, Galbraith D, et al.
Stem cell reports (2023) : . 101 011 WB; tested species: mouse
C9orf72 hexanucleotide repeat expansion leads to altered neuronal and dendritic spine morphology and synaptic dysfunction.
Huber N, Hoffmann D, Giniatullina R, Rostalski H, Leskelä S, Takalo M, Natunen T, Solje E, Remes AM, Giniatullin R, Hiltunen M, et al.
Neurobiology of disease (2022) 162: 105584. 101 011 WB; tested species: mouse
Synaptic vesicle binding of α-synuclein is modulated by β- and γ-synucleins.
Carnazza KE, Komer LE, Xie YX, Pineda A, Briano JA, Gao V, Na Y, Ramlall T, Buchman VL, Eliezer D, Sharma M, et al.
Cell reports (2022) 392: 110675. 101 011 WB; tested species: mouse
Chronic social stress disrupts the intracellular redistribution of brain hexokinase 3 induced by shifts in peripheral glucose levels.
van der Kooij MA, Rojas-Charry L, Givehchi M, Wolf C, Bueno D, Arndt S, Tenzer S, Mattioni L, Treccani G, Hasch A, Schmeisser MJ, et al.
Journal of molecular medicine (Berlin, Germany) (2022) : . 101 011 WB; tested species: mouse
Vesicular Glutamate Release from Feeder-FreehiPSC-Derived Neurons.
Baldassari S, Cervetto C, Amato S, Fruscione F, Balagura G, Pelassa S, Musante I, Iacomino M, Traverso M, Corradi A, Scudieri P, et al.
International journal of molecular sciences (2022) 2318: . 101 011 WB; tested species: human
Altered m6A RNA methylation contributes to hippocampal memory deficits in Huntington's disease mice.
Pupak A, Singh A, Sancho-Balsells A, Alcalá-Vida R, Espina M, Giralt A, Martí E, Ørom UAV, Ginés S, Brito V
Cellular and molecular life sciences : CMLS (2022) 798: 416. 101 011 WB; tested species: mouse
Plasticity-Related Gene 5 Is Expressed in a Late Phase of Neurodifferentiation After Neuronal Cell-Fate Determination.
Gross I, Brandt N, Vonk D, Köper F, Wöhlbrand L, Rabus R, Witt M, Heep A, Plösch T, Hipp MS, Bräuer AU, et al.
Frontiers in cellular neuroscience (2022) 16: 797588. 101 011 WB; tested species: mouse
Glutamatergic synapses from the insular cortex to the basolateral amygdala encode observational pain.
Zhang MM, Geng AQ, Chen K, Wang J, Wang P, Qiu XT, Gu JX, Fan HW, Zhu DY, Yang SM, Chen QY, et al.
Neuron (2022) 11012: 1993-2008.e6. 101 011 WB; tested species: mouse
Identification of substrates of palmitoyl protein thioesterase 1 highlights roles of depalmitoylation in disulfide bond formation and synaptic function.
Gorenberg EL, Massaro Tieze S, Yücel B, Zhao HR, Chou V, Wirak GS, Tomita S, Lam TT, Chandra SS
PLoS biology (2022) 203: e3001590. 101 011 WB, ICC; tested species: mouse
The ER ladder is a unique morphological feature of developing mammalian axons.
Zamponi E, Meehl JB, Voeltz GK
Developmental cell (2022) 5711: 1369-1382.e6. 101 011 WB, ICC; tested species: rat
Dynamic proteomic and phosphoproteomic atlas of corticostriatal axons in neurodevelopment.
Dumrongprechachan V, Salisbury RB, Butler L, MacDonald ML, Kozorovitskiy Y
eLife (2022) 11: . 101 011 WB; tested species: mouse
PKC-phosphorylation of Liprin-α3 triggers phase separation and controls presynaptic active zone structure.
Emperador-Melero J, Wong MY, Wang SSH, de Nola G, Nyitrai H, Kirchhausen T, Kaeser PS
Nature communications (2021) 121: 3057. 101 011 WB, ICC; tested species: mouse
Localization, proteomics, and metabolite profiling reveal a putative vesicular transporter for UDP-glucose.
Qian C, Wu Z, Sun R, Yu H, Zeng J, Rao Y, Li Y
eLife (2021) 10: . 101 011 WB, ICC; tested species: mouse
Cannabinoid receptor activation acutely increases synaptic vesicle numbers by activating synapsins in human synapses.
Patzke C, Dai J, Brockmann MM, Sun Z, Fenske P, Rosenmund C, Südhof TC
Molecular psychiatry (2021) : . 101 011 WB, ICC; tested species: human
Synapsin Condensates Recruit alpha-Synuclein.
Hoffmann C, Sansevrino R, Morabito G, Logan C, Vabulas RM, Ulusoy A, Ganzella M, Milovanovic D
Journal of molecular biology (2021) 43312: 166961. 101 011 WB; tested species: rat
Vesicular Glutamate Transporters (SLCA17 A6, 7, 8) Control Synaptic Phosphate Levels.
Cheret C, Ganzella M, Preobraschenski J, Jahn R, Ahnert-Hilger G
Cell reports (2021) 342: 108623. 101 011 WB; tested species: mouse
Cooperative function of synaptophysin and synapsin in the generation of synaptic vesicle-like clusters in non-neuronal cells.
Park D, Wu Y, Lee SE, Kim G, Jeong S, Milovanovic D, Camilli P, Chang S
Nature communications (2021) 121: 263. 101 011 WB, ICC; tested species: cos cells
Brain sterol flux mediated by cytochrome P450 46A1 affects membrane properties and membrane-dependent processes.
Petrov AM, Mast N, Li Y, Denker J, Pikuleva IA
Brain communications (2020) 21: . 101 011 WB; tested species: mouse
A complement-microglial axis driving inhibitory synapse related protein loss might contribute to systemic inflammation-induced cognitive impairment.
Li SM, Li B, Zhang L, Zhang GF, Sun J, Ji MH, Yang JJ
International immunopharmacology (2020) 87: 106814. 101 011 WB; tested species: mouse
ELKS1 Captures Rab6-Marked Vesicular Cargo in Presynaptic Nerve Terminals.
Nyitrai H, Wang SSH, Kaeser PS
Cell reports (2020) 3110: 107712. 101 011 WB; tested species: mouse
Positive surface charge of GluN1 N-terminus mediates the direct interaction with EphB2 and NMDAR mobility.
Washburn HR, Xia NL, Zhou W, Mao YT, Dalva MB
Nature communications (2020) 111: 570. 101 011 WB; tested species: rat
LAR receptor phospho-tyrosine phosphatases regulate NMDA-receptor responses.
Sclip A, Südhof TC
eLife (2020) 9: . 101 011 WB; tested species: mouse
Proteomic analysis of subcellular compartments containing disseminated alpha-synuclein seeds.
Kasahara J, Imamura Y, Hiyama A, Yamanaka T, Miyazaki H, Nukina N
Neuroscience research (2020) : . 101 011 WB, IHC; tested species: mouse
Intersectin-Mediated Clearance of SNARE Complexes Is Required for Fast Neurotransmission.
Jäpel M, Gerth F, Sakaba T, Bacetic J, Yao L, Koo SJ, Maritzen T, Freund C, Haucke V
Cell reports (2020) 302: 409-420.e6. 101 011 WB; KO verified; tested species: mouse
Vesicle Tethering on the Surface of Phase-Separated Active Zone Condensates.
Wu X, Ganzella M, Zhou J, Zhu S, Jahn R, Zhang M
Molecular cell (2020) : . 101 011 WB
PICK1 Controls Activity-Dependent Synaptic Vesicle Cargo Retrieval.
Yong XLH, Cousin MA, Anggono V
Cell reports (2020) 334: 108312. 101 011 WB; tested species: rat
Certain ortho-hydroxylated brominated ethers are promiscuous kinase inhibitors that impair neuronal signaling and neurodevelopmental processes.
Poston RG, Murphy L, Rejepova A, Ghaninejad-Esfahani M, Segales J, Mulligan K, Saha RN
The Journal of biological chemistry (2020) : . 101 011 WB; tested species: rat
Raptor-Mediated Proteasomal Degradation of Deamidated 4E-BP2 Regulates Postnatal Neuronal Translation and NF-κB Activity.
Kouloulia S, Hallin EI, Simbriger K, Amorim IS, Lach G, Amvrosiadis T, Chalkiadaki K, Kampaite A, Truong VT, Hooshmandi M, Jafarnejad SM, et al.
Cell reports (2019) 2911: 3620-3635.e7. 101 011 WB; tested species: mouse
SorCS2 Controls Functional Expression of Amino Acid Transporter EAAT3 and Protects Neurons from Oxidative Stress and Epilepsy-Induced Pathology.
Malik AR, Szydlowska K, Nizinska K, Asaro A, van Vliet EA, Popp O, Dittmar G, Fritsche-Guenther R, Kirwan JA, Nykjaer A, Lukasiuk K, et al.
Cell reports (2019) 2610: 2792-2804.e6. 101 011 WB; tested species: mouse
Expression of plasma membrane calcium ATPases confers Ca2+/H+ exchange in rodent synaptic vesicles.
Ono Y, Mori Y, Egashira Y, Sumiyama K, Takamori S
Scientific reports (2019) 91: 4289. 101 011 WB, ICC; tested species: mouse
Synaptic localization of C9orf72 regulates post-synaptic glutamate receptor 1 levels.
Xiao S, McKeever PM, Lau A, Robertson J
Acta neuropathologica communications (2019) 71: 161. 101 011 WB; tested species: mouse
Neuromodulator Signaling Bidirectionally Controls Vesicle Numbers in Human Synapses.
Patzke C, Brockmann MM, Dai J, Gan KJ, Grauel MK, Fenske P, Liu Y, Acuna C, Rosenmund C, Südhof TC
Cell (2019) 1792: 498-513.e22. 101 011 WB, ICC; tested species: mouse
LRP1 Has a Predominant Role in Production over Clearance of Aβ in a Mouse Model of Alzheimer's Disease.
Van Gool B, Storck SE, Reekmans SM, Lechat B, Gordts PLSM, Pradier L, Pietrzik CU, Roebroek AJM
Molecular neurobiology (2019) : . 101 011 WB; tested species: mouse
Redundant and nonredundant organismal functions of EPS15 and EPS15L1.
Milesi C, Alberici P, Pozzi B, Oldani A, Beznoussenko GV, Raimondi A, Soppo BE, Amodio S, Caldieri G, Malabarba MG, Bertalot G, et al.
Life science alliance (2019) 21: . 101 011 WB; tested species: mouse
CYP46A1 Activation by Efavirenz Leads to Behavioral Improvement without Significant Changes in Amyloid Plaque Load in the Brain of 5XFAD Mice.
Petrov AM, Lam M, Mast N, Moon J, Li Y, Maxfield E, Pikuleva IA
Neurotherapeutics : the journal of the American Society for Experimental NeuroTherapeutics (2019) : . 101 011 WB; tested species: mouse
Light-activated ROS production induces synaptic autophagy.
Hoffmann S, Orlando M, Andrzejak E, Bruns C, Trimbuch T, Rosenmund C, Garner CC, Ackermann F
The Journal of neuroscience : the official journal of the Society for Neuroscience (2019) : . 101 011 WB, ICC; tested species: mouse
Critical role for piccolo in synaptic vesicle retrieval.
Ackermann F, Schink KO, Bruns C, Izsvák Z, Hamra FK, Rosenmund C, Garner CC
eLife (2019) 8: . 101 011 WB, ICC; tested species: rat
Elevated synaptic vesicle release probability in synaptophysin/gyrin family quadruple knockouts.
Raja MK, Preobraschenski J, Del Olmo-Cabrera S, Martinez-Turrillas R, Jahn R, Perez-Otano I, Wesseling JF
eLife (2019) 8: . 101 011 WB; KO verified; tested species: mouse
Synaptotagmin-3 drives AMPA receptor endocytosis, depression of synapse strength, and forgetting.
Awasthi A, Ramachandran B, Ahmed S, Benito E, Shinoda Y, Nitzan N, Heukamp A, Rannio S, Martens H, Barth J, Burk K, et al.
Science (New York, N.Y.) (2018) : . 101 011 WB, ICC; tested species: rat
Dopamine Secretion Is Mediated by Sparse Active Zone-like Release Sites.
Liu C, Kershberg L, Wang J, Schneeberger S, Kaeser PS
Cell (2018) 1724: 706-718.e15. 101 011 WB; tested species: mouse
Clathrin coat controls synaptic vesicle acidification by blocking vacuolar ATPase activity.
Farsi Z, Gowrisankaran S, Krunic M, Rammner B, Woehler A, Lafer EM, Mim C, Jahn R, Milosevic I
eLife (2018) 7: . 101 011 WB; tested species: mouse
VGLUT1 Binding to Endophilin or Intersectin1 and Dynamin Phosphorylation in a Diurnal Context.
Richter K, Schmutz I, Darna M, Zander JF, Chavan R, Albrecht U, Ahnert-Hilger G
Neuroscience (2018) 371: 29-37. 101 011 WB; tested species: mouse
Identification and characterization of the BRI2 interactome in the brain.
Martins F, Marafona AM, Pereira CD, Müller T, Loosse C, Kolbe K, da Cruz E Silva OAB, Rebelo S
Scientific reports (2018) 81: 3548. 101 011 WB, IP; tested species: rat
Generation and Characterization of Anti-VGLUT Nanobodies Acting as Inhibitors of Transport.
Schenck S, Kunz L, Sahlender D, Pardon E, Geertsma ER, Savtchouk I, Suzuki T, Neldner Y, Štefanić S, Steyaert J, Volterra A, et al.
Biochemistry (2017) 5630: 3962-3971. 101 011 WB; tested species: rat
Identification and characterization of a novel botulinum neurotoxin.
Zhang S, Masuyer G, Zhang J, Shen Y, Lundin D, Henriksson L, Miyashita SI, Martínez-Carranza M, Dong M, Stenmark P
Nature communications (2017) 8: 14130. 101 011 WB; tested species: mouse
Impaired AMPA receptor trafficking by a double knockout of zebrafish olfactomedin1a/b.
Nakaya N, Sultana A, Tomarev SI
Journal of neurochemistry (2017) 1436: 635-644. 101 011 WB; tested species: zebrafish
Analysis of SUMO1-conjugation at synapses.
Daniel JA, Cooper BH, Palvimo JJ, Zhang FP, Brose N, Tirard M
eLife (2017) 6: . 101 011 WB; tested species: mouse
Serotonin Transporter Associated Protein Complexes Are Enriched in Synaptic Vesicle Proteins and Proteins Involved in Energy Metabolism and Ion Homeostasis.
Haase J, Grudzinska-Goebel J, Müller HK, Münster-Wandowski A, Chow E, Wynne K, Farsi Z, Zander JF, Ahnert-Hilger G
ACS chemical neuroscience (2017) 85: 1101-1116. 101 011 WB; tested species: mouse,rat
The intermediate filament protein vimentin is essential for axonotrophic effects of Clostridium botulinum C3 exoenzyme.
Adolf A, Leondaritis G, Rohrbeck A, Eickholt BJ, Just I, Ahnert-Hilger G, Höltje M
Journal of neurochemistry (2016) 1392: 234-244. 101 011 WB
Conditional deletion of L1CAM in human neurons impairs both axonal and dendritic arborization and action potential generation.
Patzke C, Acuna C, Giam LR, Wernig M, Südhof TC
The Journal of experimental medicine (2016) 2134: 499-515. 101 011 WB; tested species: mouse
Synaptophysin 1 Clears Synaptobrevin 2 from the Presynaptic Active Zone to Prevent Short-Term Depression.
Rajappa R, Gauthier-Kemper A, Böning D, Hüve J, Klingauf J
Cell reports (2016) 146: 1369-1381. 101 011 WB, ICC; tested species: rat
Microtubule-associated protein 1B (MAP1B)-deficient neurons show structural presynaptic deficiencies in vitro and altered presynaptic physiology.
Bodaleo FJ, Montenegro-Venegas C, Henríquez DR, Court FA, Gonzalez-Billault C
Scientific reports (2016) 6: 30069. 101 011 WB, ICC
RIM-binding protein 2 regulates release probability by fine-tuning calcium channel localization at murine hippocampal synapses.
Grauel MK, Maglione M, Reddy-Alla S, Willmes CG, Brockmann MM, Trimbuch T, Rosenmund T, Pangalos M, Vardar G, Stumpf A, Walter AM, et al.
Proceedings of the National Academy of Sciences of the United States of America (2016) 11341: 11615-11620. 101 011 WB; tested species: mouse
How to Make an Active Zone: Unexpected Universal Functional Redundancy between RIMs and RIM-BPs.
Acuna C, Liu X, Südhof TC
Neuron (2016) 914: 792-807. 101 011 WB
GluN2B-Containing NMDA Receptors Regulate AMPA Receptor Traffic through Anchoring of the Synaptic Proteasome.
Ferreira JS, Schmidt J, Rio P, Águas R, Rooyakkers A, Li KW, Smit AB, Craig AM, Carvalho AL
The Journal of neuroscience : the official journal of the Society for Neuroscience (2015) 3522: 8462-79. 101 011 WB
Effects of acute and repeated cocaine on markers for neural plasticity within the mesolimbic system in rats.
Rodriguez-Espinosa N, Fernandez-Espejo E
Psychopharmacology (2015) 2321: 57-62. 101 011 WB
Truncated tau deregulates synaptic markers in rat model for human tauopathy.
Jadhav S, Katina S, Kovac A, Kazmerova Z, Novak M, Zilka N
Frontiers in cellular neuroscience (2015) 9: 24. 101 011 WB
miR-34a regulates cell proliferation, morphology and function of newborn neurons resulting in improved behavioural outcomes.
Mollinari C, Racaniello M, Berry A, Pieri M, de Stefano MC, Cardinale A, Zona C, Cirulli F, Garaci E, Merlo D
Cell death & disease (2015) 6: e1622. 101 011 WB
Analysis of conditional heterozygous STXBP1 mutations in human neurons.
Patzke C, Han Y, Covy J, Yi F, Maxeiner S, Wernig M, Südhof TC
The Journal of clinical investigation (2015) 1259: 3560-71. 101 011 WB
Vesicular Synaptobrevin/VAMP2 Levels Guarded by AP180 Control Efficient Neurotransmission.
Koo SJ, Kochlamazashvili G, Rost B, Puchkov D, Gimber N, Lehmann M, Tadeus G, Schmoranzer J, Rosenmund C, Haucke V, Maritzen T, et al.
Neuron (2015) 882: 330-44. 101 011 WB; tested species: mouse
KV10.1 opposes activity-dependent increase in Ca2+ influx into the presynaptic terminal of the parallel fibre - Purkinje cell synapse.
Mortensen LS, Schmidt H, Farsi Z, Barrantes-Freer A, Rubio ME, Ufartes R, Eilers J, Sakaba T, Stühmer W, Pardo LA
The Journal of physiology (2014) : . 101 011 WB
Proteomic screening of glutamatergic mouse brain synaptosomes isolated by fluorescence activated sorting.
Biesemann C, Grønborg M, Luquet E, Wichert SP, Bernard V, Bungers SR, Cooper B, Varoqueaux F, Li L, Byrne JA, Urlaub H, et al.
The EMBO journal (2014) 332: 157-70. 101 011 WB; tested species: mouse
Exogenous α-synuclein decreases raft partitioning of Cav2.2 channels inducing dopamine release.
Ronzitti G, Bucci G, Emanuele M, Leo D, Sotnikova TD, Mus LV, Soubrane CH, Dallas ML, Thalhammer A, Cingolani LA, Mochida S, et al.
The Journal of neuroscience : the official journal of the Society for Neuroscience (2014) 3432: 10603-15. 101 011 WB; tested species: rat
SCAMP5 plays a critical role in synaptic vesicle endocytosis during high neuronal activity.
Zhao H, Kim Y, Park J, Park D, Lee SE, Chang I, Chang S
The Journal of neuroscience : the official journal of the Society for Neuroscience (2014) 3430: 10085-95. 101 011 WB; tested species: rat
Composition of isolated synaptic boutons reveals the amounts of vesicle trafficking proteins.
Wilhelm BG, Mandad S, Truckenbrodt S, Kröhnert K, Schäfer C, Rammner B, Koo SJ, Claßen GA, Krauss M, Haucke V, Urlaub H, et al.
Science (New York, N.Y.) (2014) 3446187: 1023-8. 101 011 WB, ICC, IHC; tested species: mouse,rat
Synaptic state-dependent functional interplay between postsynaptic density-95 and synapse-associated protein 102.
Bonnet SA, Akad DS, Samaddar T, Liu Y, Huang X, Dong Y, Schlüter OM
The Journal of neuroscience : the official journal of the Society for Neuroscience (2013) 3333: 13398-409. 101 011 WB; tested species: mouse
Ongoing intrinsic synchronous activity is required for the functional maturation of CA3-CA1 glutamatergic synapses.
Huupponen J, Molchanova SM, Lauri SE, Taira T
Cerebral cortex (New York, N.Y. : 1991) (2013) 2311: 2754-64. 101 011 WB; tested species: rat
Storage and uptake of D-serine into astrocytic synaptic-like vesicles specify gliotransmission.
Martineau M, Shi T, Puyal J, Knolhoff AM, Dulong J, Gasnier B, Klingauf J, Sweedler JV, Jahn R, Mothet JP
The Journal of neuroscience : the official journal of the Society for Neuroscience (2013) 338: 3413-23. 101 011 WB; tested species: rat
Small-scale isolation of synaptic vesicles from mammalian brain.
Ahmed S, Holt M, Riedel D, Jahn R
Nature protocols (2013) 85: 998-1009. 101 011 WB; tested species: mouse
Pain after discontinuation of morphine treatment is associated with synaptic increase of GluA4-containing AMPAR in the dorsal horn of the spinal cord.
Cabañero D, Baker A, Zhou S, Hargett GL, Irie T, Xia Y, Beaudry H, Gendron L, Melyan Z, Carlton SM, Morón JA, et al.
Neuropsychopharmacology : official publication of the American College of Neuropsychopharmacology (2013) 388: 1472-84. 101 011 WB; tested species: mouse
CDKL5 ensures excitatory synapse stability by reinforcing NGL-1-PSD95 interaction in the postsynaptic compartment and is impaired in patient iPSC-derived neurons.
Ricciardi S, Ungaro F, Hambrock M, Rademacher N, Stefanelli G, Brambilla D, Sessa A, Magagnotti C, Bachi A, Giarda E, Verpelli C, et al.
Nature cell biology (2012) 149: 911-23. 101 011 WB, ICC; tested species: mouse
IκB kinase/nuclear factor κB-dependent insulin-like growth factor 2 (Igf2) expression regulates synapse formation and spine maturation via Igf2 receptor signaling.
Schmeisser MJ, Baumann B, Johannsen S, Vindedal GF, Jensen V, Hvalby ØC, Sprengel R, Seither J, Maqbool A, Magnutzki A, Lattke M, et al.
The Journal of neuroscience : the official journal of the Society for Neuroscience (2012) 3216: 5688-703. 101 011 WB; tested species: mouse
Neurotoxic phospholipases directly affect synaptic vesicle function.
Treppmann P, Brunk I, Afube T, Richter K, Ahnert-Hilger G
Journal of neurochemistry (2011) 1174: 757-64. 101 011 WB; tested species: rat
SV31 is a Zn2+-binding synaptic vesicle protein.
Barth J, Zimmermann H, Volknandt W
Journal of neurochemistry (2011) 1184: 558-70. 101 011 WB, ICC
In vivo imaging of intersynaptic vesicle exchange using VGLUT1 Venus knock-in mice.
Herzog E, Nadrigny F, Silm K, Biesemann C, Helling I, Bersot T, Steffens H, Schwartzmann R, Nägerl UV, El Mestikawy S, Rhee J, et al.
The Journal of neuroscience : the official journal of the Society for Neuroscience (2011) 3143: 15544-59. 101 011 WB; tested species: mouse
Cleavage of the vesicular GABA transporter under excitotoxic conditions is followed by accumulation of the truncated transporter in nonsynaptic sites.
Gomes JR, Lobo AC, Melo CV, Inácio AR, Takano J, Iwata N, Saido TC, de Almeida LP, Wieloch T, Duarte CB
The Journal of neuroscience : the official journal of the Society for Neuroscience (2011) 3112: 4622-35. 101 011 WB; tested species: rat
SV2 mediates entry of tetanus neurotoxin into central neurons.
Yeh FL, Dong M, Yao J, Tepp WH, Lin G, Johnson EA, Chapman ER
PLoS pathogens (2010) 611: e1001207. 101 011 WB; tested species: mouse
Amphetamine regulates NR2B expression in Go2α knockout mice and thereby sustains behavioral sensitization.
Brunk I, Sanchis-Segura C, Blex C, Perreau-Lenz S, Bilbao A, Spanagel R, Ahnert-Hilger G
Journal of neurochemistry (2010) 1151: 234-46. 101 011 WB; tested species: mouse
Aberrant function and structure of retinal ribbon synapses in the absence of complexin 3 and complexin 4.
Reim K, Regus-Leidig H, Ammermüller J, El-Kordi A, Radyushkin K, Ehrenreich H, Brandstätter JH, Brose N
Journal of cell science (2009) 122Pt 9: 1352-61. 101 011 WB; tested species: mouse
Loss of SNAP-25 and rabphilin 3a in sensory-motor cortex in Huntington's disease.
Smith R, Klein P, Koc-Schmitz Y, Waldvogel HJ, Faull RL, Brundin P, Plomann M, Li JY
Journal of neurochemistry (2007) 1031: 115-23. 101 011 WB; tested species: human
Synaptic and vesicular co-localization of the glutamate transporters VGLUT1 and VGLUT2 in the mouse hippocampus.
Herzog E, Takamori S, Jahn R, Brose N, Wojcik SM
Journal of neurochemistry (2006) 993: 1011-8. 101 011 WB, IP; tested species: mouse
Versican G3 domain regulates neurite growth and synaptic transmission of hippocampal neurons by activation of epidermal growth factor receptor.
Xiang YY, Dong H, Wan Y, Li J, Yee A, Yang BB, Lu WY
The Journal of biological chemistry (2006) 28128: 19358-68. 101 011 WB; tested species: rat
Differential sorting of the vesicular glutamate transporter 1 into a defined vesicular pool is regulated by light signaling involving the clock gene Period2.
Yelamanchili SV, Pendyala G, Brunk I, Darna M, Albrecht U, Ahnert-Hilger G
The Journal of biological chemistry (2006) 28123: 15671-9. 101 011 WB; tested species: mouse
Structurally and functionally unique complexins at retinal ribbon synapses.
Reim K, Wegmeyer H, Brandstätter JH, Xue M, Rosenmund C, Dresbach T, Hofmann K, Brose N
The Journal of cell biology (2005) 1694: 669-80. 101 011 WB
EBAG9 adds a new layer of control on large dense-core vesicle exocytosis via interaction with Snapin.
Rüder C, Reimer T, Delgado-Martinez I, Hermosilla R, Engelsberg A, Nehring R, Dörken B, Rehm A
Molecular biology of the cell (2005) 163: 1245-57. 101 011 WB, ICC; tested species: human
Immunoisolation of two synaptic vesicle pools from synaptosomes: a proteomics analysis.
Morciano M, Burré J, Corvey C, Karas M, Zimmermann H, Volknandt W
Journal of neurochemistry (2005) 956: 1732-45. 101 011 WB; tested species: rat
Polypyrimidine tract-binding protein promotes insulin secretory granule biogenesis.
Knoch KP, Bergert H, Borgonovo B, Saeger HD, Altkrüger A, Verkade P, Solimena M
Nature cell biology (2004) 63: 207-14. 101 011 WB
SV2B regulates synaptotagmin 1 by direct interaction.
Lazzell DR, Belizaire R, Thakur P, Sherry DM, Janz R
The Journal of biological chemistry (2004) 27950: 52124-31. 101 011 WB, IP, IHC
The synaptophysin/synaptobrevin complex dissociates independently of neuroexocytosis.
Reisinger C, Yelamanchili SV, Hinz B, Mitter D, Becher A, Bigalke H, Ahnert-Hilger G
Journal of neurochemistry (2004) 901: 1-8. 101 011 WB, IP
An essential role for vesicular glutamate transporter 1 (VGLUT1) in postnatal development and control of quantal size.
Wojcik SM, Rhee JS, Herzog E, Sigler A, Jahn R, Takamori S, Brose N, Rosenmund C
Proceedings of the National Academy of Sciences of the United States of America (2004) 10118: 7158-63. 101 011 WB; tested species: mouse
Vesicular localization and activity-dependent trafficking of presynaptic choline transporters.
Ferguson SM, Savchenko V, Apparsundaram S, Zwick M, Wright J, Heilman CJ, Yi H, Levey AI, Blakely RD
The Journal of neuroscience : the official journal of the Society for Neuroscience (2003) 2330: 9697-709. 101 011 WB; tested species: mouse
Distribution of synaptic vesicle proteins in the mammalian retina identifies obligatory and facultative components of ribbon synapses.
Von Kriegstein K, Schmitz F, Link E, Südhof TC
The European journal of neuroscience (1999) 114: 1335-48. 101 011 WB, IHC
The synaptophysin-synaptobrevin complex: a hallmark of synaptic vesicle maturation.
Becher A, Drenckhahn A, Pahner I, Margittai M, Jahn R, Ahnert-Hilger G
The Journal of neuroscience : the official journal of the Society for Neuroscience (1999) 196: 1922-31. 101 011 WB, IP
Synaptotagmin: a membrane constituent of neuropeptide-containing large dense-core vesicles.
Walch-Solimena C, Takei K, Marek KL, Midyett K, Südhof TC, De Camilli P, Jahn R
The Journal of neuroscience : the official journal of the Society for Neuroscience (1993) 139: 3895-903. 101 011 WB, IP
Synaptophysin accelerates synaptic vesicle fusion by expanding the membrane upon neurotransmitter loading.
Preobraschenski J, Kreutzberger AJB, Ganzella M, Münster-Wandowski A, Kreutzberger MAB, Oolsthorn LHM, Seibert S, Kiessling V, Riedel D, Witkowska A, Ahnert-Hilger G, et al.
Science advances (2025) 1117: eads4661. 101 011 IP, ICC; tested species: mouse,rat
Suggestion of creatine as a new neurotransmitter by approaches ranging from chemical analysis and biochemistry to electrophysiology.
Bian X, Zhu J, Jia X, Liang W, Yu S, Li Z, Zhang W, Rao Y
eLife (2023) 12: . 101 011 IP; tested species: mouse
Identification and characterization of the BRI2 interactome in the brain.
Martins F, Marafona AM, Pereira CD, Müller T, Loosse C, Kolbe K, da Cruz E Silva OAB, Rebelo S
Scientific reports (2018) 81: 3548. 101 011 WB, IP; tested species: rat
Synaptic and vesicular co-localization of the glutamate transporters VGLUT1 and VGLUT2 in the mouse hippocampus.
Herzog E, Takamori S, Jahn R, Brose N, Wojcik SM
Journal of neurochemistry (2006) 993: 1011-8. 101 011 WB, IP; tested species: mouse
SV2B regulates synaptotagmin 1 by direct interaction.
Lazzell DR, Belizaire R, Thakur P, Sherry DM, Janz R
The Journal of biological chemistry (2004) 27950: 52124-31. 101 011 WB, IP, IHC
The synaptophysin/synaptobrevin complex dissociates independently of neuroexocytosis.
Reisinger C, Yelamanchili SV, Hinz B, Mitter D, Becher A, Bigalke H, Ahnert-Hilger G
Journal of neurochemistry (2004) 901: 1-8. 101 011 WB, IP
The synaptophysin-synaptobrevin complex: a hallmark of synaptic vesicle maturation.
Becher A, Drenckhahn A, Pahner I, Margittai M, Jahn R, Ahnert-Hilger G
The Journal of neuroscience : the official journal of the Society for Neuroscience (1999) 196: 1922-31. 101 011 WB, IP
Synaptotagmin: a membrane constituent of neuropeptide-containing large dense-core vesicles.
Walch-Solimena C, Takei K, Marek KL, Midyett K, Südhof TC, De Camilli P, Jahn R
The Journal of neuroscience : the official journal of the Society for Neuroscience (1993) 139: 3895-903. 101 011 WB, IP
Chromogranin A promotes the pathological conversion of α-synuclein at the synapse in Parkinson's disease.
Liu Y, Kong W, Zhu F, Jiang J, Li C, Han J, Ai P, Li C, Wang Y, Liu Y, Zhou L, et al.
Cell reports (2025) 4411: 116562. 101 011 ICC; tested species: mouse
Recording and modeling of pinched hysteresis loops, the fingerprint of a memristor, in neurons.
Pabst O, Schülke C, Balasingham I, Krauss S, Glover JC, Martinsen ØG
Scientific reports (2025) 151: 37212. 101 011 ICC; tested species: human
Synaptophysin accelerates synaptic vesicle fusion by expanding the membrane upon neurotransmitter loading.
Preobraschenski J, Kreutzberger AJB, Ganzella M, Münster-Wandowski A, Kreutzberger MAB, Oolsthorn LHM, Seibert S, Kiessling V, Riedel D, Witkowska A, Ahnert-Hilger G, et al.
Science advances (2025) 1117: eads4661. 101 011 IP, ICC; tested species: mouse,rat
Synaptic vesicle characterization of iPSC-derived dopaminergic neurons provides insight into distinct secretory vesicle pools.
Fujise K, Mishra J, Rosenfeld MS, Rafiq NM
NPJ Parkinson's disease (2025) 111: 16. 101 011 ICC; tested species: human
Membrane mechanics dictate axonal pearls-on-a-string morphology and function.
Griswold JM, Bonilla-Quintana M, Pepper R, Lee CT, Raychaudhuri S, Ma S, Gan Q, Syed S, Zhu C, Bell M, Suga M, et al.
Nature neuroscience (2024) : . 101 011 ICC; tested species: mouse
A Screen of Plant-Based Natural Products Revealed That Quercetin Prevents Pyroglutamylated Amyloid-β (Aβ3(pE)-42) Uptake in Astrocytes As Well As Resulting Astrogliosis and Synaptic Dysfunction.
Arndt H, Bachurski M, Yuanxiang P, Franke K, Wessjohann LA, Kreutz MR, Grochowska KM
Molecular neurobiology (2024) : . 101 011 ICC; tested species: rat
Actin-nucleation promoting factor N-WASP influences alpha-synuclein condensates and pathology.
Jackson J, Hoffmann C, Scifo E, Wang H, Wischhof L, Piazzesi A, Mondal M, Shields H, Zhou X, Mondin M, Ryan EB, et al.
Cell death & disease (2024) 154: 304. 101 011 ICC; tested species: mouse
Liprin-α proteins are master regulators of human presynapse assembly.
Marcó de la Cruz B, Campos J, Molinaro A, Xie X, Jin G, Wei Z, Acuna C, Sterky FH
Nature neuroscience (2024) : . 101 011 WB, ICC; tested species: human
Somatic and terminal CB1 receptors are differentially coupled to voltage-gated sodium channels in neocortical neurons.
Steiger LJ, Tsintsadze T, Mattheisen GB, Smith SM
Cell reports (2023) 423: 112247. 101 011 ICC; tested species: mouse
Molecular definition of distinct active zone protein machineries for Ca2+ channel clustering and synaptic vesicle priming.
Emperador-Melero J, Andersen JW, Metzbower SR, Levy AD, Dharmasri PA, de Nola G, Blanpied TA, Kaeser PS
bioRxiv : the preprint server for biology (2023) : . 101 011 WB, ICC; tested species: mouse
S-SCAM is essential for synapse formation.
Wittenmayer N, Petkova-Tuffy A, Borgmeyer M, Lee C, Becker J, Böning A, Kügler S, Rhee J, Viotti JS, Dresbach T
Frontiers in cellular neuroscience (2023) 17: 1182493. 101 011 ICC; tested species: rat
Prion protein conversion at two distinct cellular sites precedes fibrillisation.
Ribes JM, Patel MP, Halim HA, Berretta A, Tooze SA, Klöhn PC
Nature communications (2023) 141: 8354. 101 011 ICC; tested species: mouse
The ER ladder is a unique morphological feature of developing mammalian axons.
Zamponi E, Meehl JB, Voeltz GK
Developmental cell (2022) 5711: 1369-1382.e6. 101 011 WB, ICC; tested species: rat
Clathrin-independent endocytic retrieval of SV proteins mediated by the clathrin adaptor AP-2 at mammalian central synapses.
López-Hernández T, Takenaka KI, Mori Y, Kongpracha P, Nagamori S, Haucke V, Takamori S
eLife (2022) 11: . 101 011 ICC; tested species: mouse
Endosomal phosphatidylinositol 3-phosphate controls synaptic vesicle cycling and neurotransmission.
Liu GT, Kochlamazashvili G, Puchkov D, Müller R, Schultz C, Mackintosh AI, Vollweiter D, Haucke V, Soykan T
The EMBO journal (2022) : e109352. 101 011 ICC; tested species: rat
Neuronal F-Box protein FBXO41 regulates synaptic transmission and hippocampal network maturation.
Quadros ARAA, Arazola RD, Álvarez AR, Pires J, Meredith RM, Saarloos I, Verhage M, Toonen RF
iScience (2022) 254: 104069. 101 011 ICC; tested species: mouse
Altered resting-state functional connectivity in hiPSCs-derived neuronal networks from schizophrenia patients.
Puvogel S, Blanchard K, Casas BS, Miller RL, Garrido-Jara D, Arizabalos S, Rehen SK, Sanhueza M, Palma V
Frontiers in cell and developmental biology (2022) 10: 935360. 101 011 ICC; tested species: human
Identification of substrates of palmitoyl protein thioesterase 1 highlights roles of depalmitoylation in disulfide bond formation and synaptic function.
Gorenberg EL, Massaro Tieze S, Yücel B, Zhao HR, Chou V, Wirak GS, Tomita S, Lam TT, Chandra SS
PLoS biology (2022) 203: e3001590. 101 011 WB, ICC; tested species: mouse
PKC-phosphorylation of Liprin-α3 triggers phase separation and controls presynaptic active zone structure.
Emperador-Melero J, Wong MY, Wang SSH, de Nola G, Nyitrai H, Kirchhausen T, Kaeser PS
Nature communications (2021) 121: 3057. 101 011 WB, ICC; tested species: mouse
TRPM7 is critical for short-term synaptic depression by regulating synaptic vesicle endocytosis.
Jiang ZJ, Li W, Yao LH, Saed B, Rao Y, Grewe BS, McGinley A, Varga K, Alford S, Hu YS, Gong LW, et al.
eLife (2021) 10: . 101 011 ICC; tested species: mouse
Localization, proteomics, and metabolite profiling reveal a putative vesicular transporter for UDP-glucose.
Qian C, Wu Z, Sun R, Yu H, Zeng J, Rao Y, Li Y
eLife (2021) 10: . 101 011 WB, ICC; tested species: mouse
Cannabinoid receptor activation acutely increases synaptic vesicle numbers by activating synapsins in human synapses.
Patzke C, Dai J, Brockmann MM, Sun Z, Fenske P, Rosenmund C, Südhof TC
Molecular psychiatry (2021) : . 101 011 WB, ICC; tested species: human
Multiomics of synaptic junctions reveals altered lipid metabolism and signaling following environmental enrichment.
Borgmeyer M, Coman C, Has C, Schött HF, Li T, Westhoff P, Cheung YFH, Hoffmann N, Yuanxiang P, Behnisch T, Gomes GM, et al.
Cell reports (2021) 371: 109797. 101 011 ICC, IHC; tested species: mouse,rat
Heterogeneity of neurons reprogrammed from spinal cord astrocytes by the proneural factors Ascl1 and Neurogenin2.
Kempf J, Knelles K, Hersbach BA, Petrik D, Riedemann T, Bednarova V, Janjic A, Simon-Ebert T, Enard W, Smialowski P, Götz M, et al.
Cell reports (2021) 363: 109409. 101 011 ICC; tested species: mouse
Synaptophysin Regulates Fusion Pores and Exocytosis Mode in Chromaffin Cells.
Chang CW, Hsiao YT, Jackson MB
The Journal of neuroscience : the official journal of the Society for Neuroscience (2021) : . 101 011 ICC; KO verified; tested species: mouse
Cooperative function of synaptophysin and synapsin in the generation of synaptic vesicle-like clusters in non-neuronal cells.
Park D, Wu Y, Lee SE, Kim G, Jeong S, Milovanovic D, Camilli P, Chang S
Nature communications (2021) 121: 263. 101 011 WB, ICC; tested species: cos cells
The soluble neurexin-1β ectodomain causes calcium influx and augments dendritic outgrowth and synaptic transmission.
Wierda KDB, Toft-Bertelsen TL, Gøtzsche CR, Pedersen E, Korshunova I, Nielsen J, Bang ML, Kønig AB, Owczarek S, Gjørlund MD, Schupp M, et al.
Scientific reports (2020) 101: 18041. 101 011 ICC; tested species: rat
Parkin contributes to synaptic vesicle autophagy in Bassoon-deficient mice.
Hoffmann-Conaway S, Brockmann MM, Schneider K, Annamneedi A, Rahman KA, Bruns C, Textoris-Taube K, Trimbuch T, Smalla KH, Rosenmund C, Gundelfinger ED, et al.
eLife (2020) 9: . 101 011 ICC; tested species: mouse
Autaptic cultures of human induced neurons as a versatile platform for studying synaptic function and neuronal morphology.
Fenske P, Grauel MK, Brockmann MM, Dorrn AL, Trimbuch T, Rosenmund C
Scientific reports (2019) 91: 4890. 101 011 ICC; tested species: human
Biallelic DMXL2 mutations impair autophagy and cause Ohtahara syndrome with progressive course.
Esposito A, Falace A, Wagner M, Gal M, Mei D, Conti V, Pisano T, Aprile D, Cerullo MS, De Fusco A, Giovedì S, et al.
Brain : a journal of neurology (2019) : . 101 011 ICC; tested species: mouse
Neuromodulator Signaling Bidirectionally Controls Vesicle Numbers in Human Synapses.
Patzke C, Brockmann MM, Dai J, Gan KJ, Grauel MK, Fenske P, Liu Y, Acuna C, Rosenmund C, Südhof TC
Cell (2019) 1792: 498-513.e22. 101 011 WB, ICC; tested species: mouse
Critical role for piccolo in synaptic vesicle retrieval.
Ackermann F, Schink KO, Bruns C, Izsvák Z, Hamra FK, Rosenmund C, Garner CC
eLife (2019) 8: . 101 011 WB, ICC; tested species: rat
Expression of plasma membrane calcium ATPases confers Ca2+/H+ exchange in rodent synaptic vesicles.
Ono Y, Mori Y, Egashira Y, Sumiyama K, Takamori S
Scientific reports (2019) 91: 4289. 101 011 WB, ICC; tested species: mouse
Light-activated ROS production induces synaptic autophagy.
Hoffmann S, Orlando M, Andrzejak E, Bruns C, Trimbuch T, Rosenmund C, Garner CC, Ackermann F
The Journal of neuroscience : the official journal of the Society for Neuroscience (2019) : . 101 011 WB, ICC; tested species: mouse
Newly produced synaptic vesicle proteins are preferentially used in synaptic transmission.
Truckenbrodt S, Viplav A, Jähne S, Vogts A, Denker A, Wildhagen H, Fornasiero EF, Rizzoli SO
The EMBO journal (2018) : . 101 011 ICC; tested species: rat
Synaptic nanomodules underlie the organization and plasticity of spine synapses.
Hruska M, Henderson N, Le Marchand SJ, Jafri H, Dalva MB
Nature neuroscience (2018) 215: 671-682. 101 011 ICC; tested species: rat
Soluble Aβ1-42increases the heterogeneity in synaptic vesicle pool size among synapses by suppressing intersynaptic vesicle sharing.
Park D, Chang S
Molecular brain (2018) 111: 10. 101 011 ICC; tested species: rat
Synaptotagmin-3 drives AMPA receptor endocytosis, depression of synapse strength, and forgetting.
Awasthi A, Ramachandran B, Ahmed S, Benito E, Shinoda Y, Nitzan N, Heukamp A, Rannio S, Martens H, Barth J, Burk K, et al.
Science (New York, N.Y.) (2018) : . 101 011 WB, ICC; tested species: rat
Bassoon Controls Presynaptic Autophagy through Atg5.
Okerlund ND, Schneider K, Leal-Ortiz S, Montenegro-Venegas C, Kim SA, Garner LC, Waites CL, Gundelfinger ED, Reimer RJ, Garner CC
Neuron (2018) 973: 727. 101 011 ICC; tested species: mouse
Bassoon Controls Presynaptic Autophagy through Atg5.
Okerlund ND, Schneider K, Leal-Ortiz S, Montenegro-Venegas C, Kim SA, Garner LC, Waites CL, Gundelfinger ED, Reimer RJ, Garner CC
Neuron (2017) 934: 897-913.e7. 101 011 ICC; tested species: mouse
Heteromeric channels formed by TRPC1, TRPC4 and TRPC5 define hippocampal synaptic transmission and working memory.
Bröker-Lai J, Kollewe A, Schindeldecker B, Pohle J, Nguyen Chi V, Mathar I, Guzman R, Schwarz Y, Lai A, Weißgerber P, Schwegler H, et al.
The EMBO journal (2017) 3618: 2770-2789. 101 011 ICC; tested species: mouse
The Kohlschütter-Tönz syndrome associated gene Rogdi encodes a novel presynaptic protein.
Riemann D, Wallrafen R, Dresbach T
Scientific reports (2017) 71: 15791. 101 011 ICC; tested species: rat
Microtubule-associated protein 1B (MAP1B)-deficient neurons show structural presynaptic deficiencies in vitro and altered presynaptic physiology.
Bodaleo FJ, Montenegro-Venegas C, Henríquez DR, Court FA, Gonzalez-Billault C
Scientific reports (2016) 6: 30069. 101 011 WB, ICC
Synaptophysin 1 Clears Synaptobrevin 2 from the Presynaptic Active Zone to Prevent Short-Term Depression.
Rajappa R, Gauthier-Kemper A, Böning D, Hüve J, Klingauf J
Cell reports (2016) 146: 1369-1381. 101 011 WB, ICC; tested species: rat
Electrical Responses and Spontaneous Activity of Human iPS-Derived Neuronal Networks Characterized for 3-month Culture with 4096-Electrode Arrays.
Amin H, Maccione A, Marinaro F, Zordan S, Nieus T, Berdondini L
Frontiers in neuroscience (2016) 10: 121. 101 011 ICC; tested species: human
Brefeldin A-inhibited guanine nucleotide exchange protein 3 is localized in lysosomes and regulates GABA signaling in hippocampal neurons.
Liu T, Li H, Hong W, Han W
Journal of neurochemistry (2016) 1395: 748-756. 101 011 ICC
Synaptic vesicle glycoprotein 2A modulates vesicular release and calcium channel function at peripheral sympathetic synapses.
Vogl C, Tanifuji S, Danis B, Daniels V, Foerch P, Wolff C, Whalley BJ, Mochida S, Stephens GJ
The European journal of neuroscience (2015) 414: 398-409. 101 011 ICC; KD verified; tested species: rat
The GTPase Rab26 links synaptic vesicles to the autophagy pathway.
Binotti B, Pavlos NJ, Riedel D, Wenzel D, Vorbrüggen G, Schalk AM, Kühnel K, Boyken J, Erck C, Martens H, Chua JJ, et al.
eLife (2015) 4: e05597. 101 011 ICC
Evaluation of established human iPSC-derived neurons to model neurodegenerative diseases.
Meneghello G, Verheyen A, Van Ingen M, Kuijlaars J, Tuefferd M, Van Den Wyngaert I, Nuydens R
Neuroscience (2015) 301: 204-12. 101 011 ICC; tested species: human
Nonsynaptic junctions on myelinating glia promote preferential myelination of electrically active axons.
Wake H, Ortiz FC, Woo DH, Lee PR, Angulo MC, Fields RD
Nature communications (2015) 6: 7844. 101 011 ICC
Composition of isolated synaptic boutons reveals the amounts of vesicle trafficking proteins.
Wilhelm BG, Mandad S, Truckenbrodt S, Kröhnert K, Schäfer C, Rammner B, Koo SJ, Claßen GA, Krauss M, Haucke V, Urlaub H, et al.
Science (New York, N.Y.) (2014) 3446187: 1023-8. 101 011 WB, ICC, IHC; tested species: mouse,rat
Prion protein accumulation in lipid rafts of mouse aging brain.
Agostini F, Dotti CG, Pérez-Cañamás A, Ledesma MD, Benetti F, Legname G
PloS one (2013) 89: e74244. 101 011 ICC; tested species: rat
Point mutation in syntaxin-1A causes abnormal vesicle recycling, behaviors, and short term plasticity.
Watanabe Y, Katayama N, Takeuchi K, Togano T, Itoh R, Sato M, Yamazaki M, Abe M, Sato T, Oda K, Yokoyama M, et al.
The Journal of biological chemistry (2013) 28848: 34906-19. 101 011 ICC; tested species: mouse
Seipin regulates excitatory synaptic transmission in cortical neurons.
Wei S, Soh SL, Qiu W, Yang W, Seah CJ, Guo J, Ong WY, Pang ZP, Han W
Journal of neurochemistry (2013) 1244: 478-89. 101 011 ICC
Glycosylation is dispensable for sorting of synaptotagmin 1 but is critical for targeting of SV2 and synaptophysin to recycling synaptic vesicles.
Kwon SE, Chapman ER
The Journal of biological chemistry (2012) 28742: 35658-68. 101 011 ICC
Tetanus toxin and botulinum toxin a utilize unique mechanisms to enter neurons of the central nervous system.
Blum FC, Chen C, Kroken AR, Barbieri JT
Infection and immunity (2012) 805: 1662-9. 101 011 ICC
Minimal essential length of Clostridium botulinum C3 peptides to enhance neuronal regenerative growth and connectivity in a non-enzymatic mode.
Loske P, Boato F, Hendrix S, Piepgras J, Just I, Ahnert-Hilger G, Höltje M
Journal of neurochemistry (2012) 1206: 1084-96. 101 011 ICC; tested species: mouse
CDKL5 ensures excitatory synapse stability by reinforcing NGL-1-PSD95 interaction in the postsynaptic compartment and is impaired in patient iPSC-derived neurons.
Ricciardi S, Ungaro F, Hambrock M, Rademacher N, Stefanelli G, Brambilla D, Sessa A, Magagnotti C, Bachi A, Giarda E, Verpelli C, et al.
Nature cell biology (2012) 149: 911-23. 101 011 WB, ICC; tested species: mouse
VAMP4 directs synaptic vesicles to a pool that selectively maintains asynchronous neurotransmission.
Raingo J, Khvotchev M, Liu P, Darios F, Li YC, Ramirez DM, Adachi M, Lemieux P, Toth K, Davletov B, Kavalali ET, et al.
Nature neuroscience (2012) 155: 738-45. 101 011 ICC
SV31 is a Zn2+-binding synaptic vesicle protein.
Barth J, Zimmermann H, Volknandt W
Journal of neurochemistry (2011) 1184: 558-70. 101 011 WB, ICC
N-cofilin can compensate for the loss of ADF in excitatory synapses.
Görlich A, Wolf M, Zimmermann AM, Gurniak CB, Al Banchaabouchi M, Sassoè-Pognetto M, Witke W, Friauf E, Rust MB
PloS one (2011) 610: e26789. 101 011 ICC; tested species: mouse
Synaptic membrane proteins form stable microdomains in early endosomes.
Geumann U, Schäfer C, Riedel D, Jahn R, Rizzoli SO
Microscopy research and technique (2010) 736: 606-17. 101 011 ICC, EM
CAPS-1 and CAPS-2 are essential synaptic vesicle priming proteins.
Jockusch WJ, Speidel D, Sigler A, Sørensen JB, Varoqueaux F, Rhee JS, Brose N
Cell (2007) 1314: 796-808. 101 011 ICC
EBAG9 adds a new layer of control on large dense-core vesicle exocytosis via interaction with Snapin.
Rüder C, Reimer T, Delgado-Martinez I, Hermosilla R, Engelsberg A, Nehring R, Dörken B, Rehm A
Molecular biology of the cell (2005) 163: 1245-57. 101 011 WB, ICC; tested species: human
Gene profiling of hippocampal neuronal culture.
Dabrowski M, Aerts S, Van Hummelen P, Craessaerts K, De Moor B, Annaert W, Moreau Y, De Strooper B
Journal of neurochemistry (2003) 855: 1279-88. 101 011 ICC; tested species: mouse
Morphological and molecular heterogeneity in release sites of single neurons.
Morgenthaler FD, Knott GW, Floyd Sarria JC, Wang X, Staple JK, Catsicas S, Hirling H
The European journal of neuroscience (2003) 177: 1365-74. 101 011 ICC
Comparing Functional Consequences of Human iPSC-Microglia and Neural Stem Cell-Derived Extracellular Vesicles in Mitigating Cognitive Decline in Alzheimer's Disease.
Krattli RP, Markarian M, Madan S, Swami D, McQuade A, Baulch JE, Blurton-Jones M, Acharya MM
Aging cell (2026) 251: e70341. 101 011 IHC; tested species: mouse
Disrupted Motor Neuron and Neuromuscular Junction Development in an Albino Mice Model of Infantile Nystagmus.
Vemula S, Osman A, Yang X, Aronchik G, Martinez Sanchez M, Meher N, Whitman MC
Investigative ophthalmology & visual science (2025) 669: 25. 101 011 IHC; tested species: mouse
Pharmacological Inhibition of Mitochondrial Division Attenuates Simulated High-Altitude Exposure-Induced Memory Impairment in Mice: Involvement of Inhibition of Microglia-Mediated Synapse Elimination.
Chang P, Xu M, Zhu J, Bian J, Lu Y, Luo Q, Wang D, Zhu L
CNS neuroscience & therapeutics (2025) 316: e70473. 101 011 IHC; tested species: mouse
Microglial activation and hypothalamic structural plasticity in HFD obesity: insights from semaglutide and minocycline.
Rong X, Wei F, Jiang Y, Ma Q, Wang D, Shen J
Journal of lipid research (2024) 662: 100736. 101 011 WB, IHC; tested species: mouse
Reversal of cognitive deficits in FUSR521G amyotrophic lateral sclerosis mice by arimoclomol and a class I histone deacetylase inhibitor independent of heat shock protein induction.
Pelaez MC, Fiore F, Larochelle N, Dabbaghizadeh A, Comaduran MF, Arbour D, Minotti S, Marcadet L, Semaan M, Robitaille R, Nalbantoglu JN, et al.
Neurotherapeutics : the journal of the American Society for Experimental NeuroTherapeutics (2024) : e00388. 101 011 IHC; tested species: mouse
Experience-dependent flexibility in a molecularly diverse central-to-peripheral auditory feedback system.
Frank MM, Sitko AA, Suthakar K, Torres Cadenas L, Hunt M, Yuk MC, Weisz CJC, Goodrich LV
eLife (2023) 12: . 101 011 IHC; tested species: mouse
Loss of the parkinsonism-associated protein FBXO7 in glutamatergic forebrain neurons in mice leads to abnormal motor behavior and synaptic defects.
Wang J, Joseph S, Vingill S, Dere E, Tatenhorst L, Ronnenberg A, Lingor P, Preisinger C, Ehrenreich H, Schulz JB, Stegmüller J, et al.
Journal of neurochemistry (2023) : . 101 011 IHC; tested species: mouse
Loss of NDR1/2 kinases impairs endomembrane trafficking and autophagy leading to neurodegeneration.
Roşianu F, Mihaylov SR, Eder N, Martiniuc A, Claxton S, Flynn HR, Jalal S, Domart MC, Collinson L, Skehel M, Snijders AP, et al.
Life science alliance (2023) 62: . 101 011 IHC; tested species: mouse
The first synapse in vision in the aging mouse retina.
Gierke K, Lux UT, Regus-Leidig H, Brandstätter JH
Frontiers in cellular neuroscience (2023) 17: 1291054. 101 011 IHC; tested species: mouse
Probucol treatment after traumatic brain injury activates BDNF/TrkB pathway, promotes neuroregeneration and ameliorates functional deficits in mice.
Chen CM, Gung PY, Ho YC, Hamdin CD, Yet SF
British journal of pharmacology (2023) 18020: 2605-2622. 101 011 IHC; tested species: mouse
Brain-wide Cas9-mediated cleavage of a gene causing familial Alzheimer's disease alleviates amyloid-related pathologies in mice.
Duan Y, Ye T, Qu Z, Chen Y, Miranda A, Zhou X, Lok KC, Chen Y, Fu AKY, Gradinaru V, Ip NY, et al.
Nature biomedical engineering (2021) : . 101 011 IHC; tested species: mouse
Multiomics of synaptic junctions reveals altered lipid metabolism and signaling following environmental enrichment.
Borgmeyer M, Coman C, Has C, Schött HF, Li T, Westhoff P, Cheung YFH, Hoffmann N, Yuanxiang P, Behnisch T, Gomes GM, et al.
Cell reports (2021) 371: 109797. 101 011 ICC, IHC; tested species: mouse,rat
Axon terminals control endolysosome diffusion to support synaptic remodelling.
Terni B, Llobet A
Life science alliance (2021) 48: . 101 011 IHC; tested species: frog
Chronic adolescent stress causes sustained impairment of cognitive flexibility and hippocampal synaptic strength in female rats.
Hyer MM, Shaw GA, Goswamee P, Dyer SK, Burns CM, Soriano E, Sanchez CS, Rowson SA, McQuiston AR, Neigh GN
Neurobiology of stress (2021) 14: 100303. 101 011 IHC; tested species: rat
Palmitoylethanolamide counteracts brain fog improving depressive-like behaviour in obese mice: Possible role of synaptic plasticity and neurogenesis.
Lama A, Pirozzi C, Annunziata C, Morgese MG, Senzacqua M, Severi I, Calignano A, Trabace L, Giordano A, Meli R, Mattace Raso G, et al.
British journal of pharmacology (2021) 1784: 845-859. 101 011 IHC; tested species: mouse
Vesicular Glutamate Transporter Expression Ensures High-Fidelity Synaptic Transmission at the Calyx of Held Synapses.
Nakakubo Y, Abe S, Yoshida T, Takami C, Isa M, Wojcik SM, Brose N, Takamori S, Hori T
Cell reports (2020) 327: 108040. 101 011 IHC; tested species: mouse
Proteomic analysis of subcellular compartments containing disseminated alpha-synuclein seeds.
Kasahara J, Imamura Y, Hiyama A, Yamanaka T, Miyazaki H, Nukina N
Neuroscience research (2020) : . 101 011 WB, IHC; tested species: mouse
Nutrient sensing in the nucleus of the solitary tract mediates non-aversive suppression of feeding via inhibition of AgRP neurons.
Tsang AH, Nuzzaci D, Darwish T, Samudrala H, Blouet C
Molecular metabolism (2020) 42: 101070. 101 011 IHC; tested species: mouse
Innervation of GnRH neuron distal projections and activation by kisspeptin in a new GnRH-Cre rat model.
Yip SH, Campos P, Liu X, Porteous R, Herbison AE
Endocrinology (2020) : . 101 011 IHC; tested species: rat
Retinal inputs signal astrocytes to recruit interneurons into visual thalamus.
Su J, Charalambakis NE, Sabbagh U, Somaiya RD, Monavarfeshani A, Guido W, Fox MA
Proceedings of the National Academy of Sciences of the United States of America (2020) : . 101 011 IHC; tested species: mouse
Paradoxical effects of continuous high dose gabapentin treatment on autonomic dysreflexia after complete spinal cord injury.
Eldahan KC, Williams HC, Cox DH, Gollihue JL, Patel SP, Rabchevsky AG
Experimental neurology (2019) 323: 113083. 101 011 IHC; tested species: rat
Vaccinia-related kinase 2 plays a critical role in microglia-mediated synapse elimination during neurodevelopment.
Lee J, Lee S, Ryu YJ, Lee D, Kim S, Seo JY, Oh E, Paek SH, Kim SU, Ha CM, Choi SY, et al.
Glia (2019) : . 101 011 IHC; tested species: mouse
Central expression of synaptophysin and synaptoporin in nociceptive afferent subtypes in the dorsal horn.
Chung J, Franklin JF, Lee HJ
Scientific reports (2019) 91: 4273. 101 011 IHC; tested species: rat
Conditional BDNF Delivery from Astrocytes Rescues Memory Deficits, Spine Density, and Synaptic Properties in the 5xFAD Mouse Model of Alzheimer Disease.
de Pins B, Cifuentes-Díaz C, Farah AT, López-Molina L, Montalban E, Sancho-Balsells A, López A, Ginés S, Delgado-García JM, Alberch J, Gruart A, et al.
The Journal of neuroscience : the official journal of the Society for Neuroscience (2019) 3913: 2441-2458. 101 011 IHC; tested species: mouse
Transmission Disrupted: Modeling Auditory Synaptopathy in Zebrafish.
Kindt KS, Sheets L
Frontiers in cell and developmental biology (2018) 6: 114. 101 011 IHC; tested species: zebrafish
Re-evaluation of neuronal P2X7 expression using novel mouse models and a P2X7-specific nanobody.
Kaczmarek-Hajek K, Zhang J, Kopp R, Grosche A, Rissiek B, Saul A, Bruzzone S, Engel T, Jooss T, Krautloher A, Schuster S, et al.
eLife (2018) 7: . 101 011 IHC; tested species: mouse
Persistent sodium current drives excitability of immature Renshaw cells in early embryonic spinal networks.
Boeri J, Le Corronc H, Xavier Lejeune F, Le Bras B, Mouffle C, Angelim MKSC, Marie Mangin J, Branchereau P, Legendre P, Czarnecki A A
The Journal of neuroscience : the official journal of the Society for Neuroscience (2018) : . 101 011 IHC; tested species: mouse
Regulation of body weight and energy homeostasis by neuronal cell adhesion molecule 1.
Rathjen T, Yan X, Kononenko NL, Ku MC, Song K, Ferrarese L, Tarallo V, Puchkov D, Kochlamazashvili G, Brachs S, Varela L, et al.
Nature neuroscience (2017) 208: 1096-1103. 101 011 IHC; tested species: mouse
Tight temporal coupling between synaptic rewiring of olfactory glomeruli and the emergence of odor-guided behavior in Xenopus tadpoles.
Terni B, Pacciolla P, Masanas H, Gorostiza P, Llobet A
The Journal of comparative neurology (2017) 52517: 3769-3783. 101 011 IHC; tested species: frog
Hallmarks of Alzheimer's Disease in Stem-Cell-Derived Human Neurons Transplanted into Mouse Brain.
Espuny-Camacho I, Arranz AM, Fiers M, Snellinx A, Ando K, Munck S, Bonnefont J, Lambot L, Corthout N, Omodho L, Vanden Eynden E, et al.
Neuron (2017) 935: 1066-1081.e8. 101 011 IHC; tested species: human,mouse
Coexpression of auxiliary subunits KChIP and DPPL in potassium channel Kv4-positive nociceptors and pain-modulating spinal interneurons.
Cheng CF, Wang WC, Huang CY, Du PH, Yang JH, Tsaur ML
The Journal of comparative neurology (2016) 5244: 846-73. 101 011 IHC; tested species: rat
A lack of immune system genes causes loss in high frequency hearing but does not disrupt cochlear synapse maturation in mice.
Calton MA, Lee D, Sundaresan S, Mendus D, Leu R, Wangsawihardja F, Johnson KR, Mustapha M
PloS one (2014) 95: e94549. 101 011 IHC; tested species: mouse
Composition of isolated synaptic boutons reveals the amounts of vesicle trafficking proteins.
Wilhelm BG, Mandad S, Truckenbrodt S, Kröhnert K, Schäfer C, Rammner B, Koo SJ, Claßen GA, Krauss M, Haucke V, Urlaub H, et al.
Science (New York, N.Y.) (2014) 3446187: 1023-8. 101 011 WB, ICC, IHC; tested species: mouse,rat
Tissue multicolor STED nanoscopy of presynaptic proteins in the calyx of Held.
Kempf C, Staudt T, Bingen P, Horstmann H, Engelhardt J, Hell SW, Kuner T
PloS one (2013) 84: e62893. 101 011 IHC; tested species: rat
In vivo analysis of Lrig genes reveals redundant and independent functions in the inner ear.
Del Rio T, Nishitani AM, Yu WM, Goodrich LV
PLoS genetics (2013) 99: e1003824. 101 011 IHC; tested species: mouse
Neonatal leptin exposure specifies innervation of presympathetic hypothalamic neurons and improves the metabolic status of leptin-deficient mice.
Bouyer K, Simerly RB
The Journal of neuroscience : the official journal of the Society for Neuroscience (2013) 332: 840-51. 101 011 IHC; tested species: mouse
Overactivation of Notch1 signaling induces ectopic hair cells in the mouse inner ear in an age-dependent manner.
Liu Z, Owen T, Fang J, Zuo J
PloS one (2012) 73: e34123. 101 011 IHC; tested species: mouse
Target-derived matricryptins organize cerebellar synapse formation through α3β1 integrins.
Su J, Stenbjorn RS, Gorse K, Su K, Hauser KF, Ricard-Blum S, Pihlajaniemi T, Fox MA
Cell reports (2012) 22: 223-30. 101 011 IHC; tested species: mouse
Cadm1-expressing synapses on Purkinje cell dendrites are involved in mouse ultrasonic vocalization activity.
Fujita E, Tanabe Y, Imhof BA, Momoi MY, Momoi T
PloS one (2012) 71: e30151. 101 011 IHC; tested species: mouse
Impaired development of hippocampal mossy fibre synapses in mouse mutants for the presynaptic scaffold protein Bassoon.
Lanore F, Blanchet C, Fejtova A, Pinheiro P, Richter K, Balschun D, Gundelfinger E, Mulle C
The Journal of physiology (2010) 588Pt 12: 2133-45. 101 011 IHC; tested species: mouse
Unique luminal localization of VGAT-C terminus allows for selective labeling of active cortical GABAergic synapses.
Martens H, Weston MC, Boulland JL, Grønborg M, Grosche J, Kacza J, Hoffmann A, Matteoli M, Takamori S, Harkany T, Chaudhry FA, et al.
The Journal of neuroscience : the official journal of the Society for Neuroscience (2008) 2849: 13125-31. 101 011 IHC; tested species: rat
Binding to Rab3A-interacting molecule RIM regulates the presynaptic recruitment of Munc13-1 and ubMunc13-2.
Andrews-Zwilling YS, Kawabe H, Reim K, Varoqueaux F, Brose N
The Journal of biological chemistry (2006) 28128: 19720-31. 101 011 IHC; tested species: mouse
Two ribeye genes in teleosts: the role of Ribeye in ribbon formation and bipolar cell development.
Wan L, Almers W, Chen W
The Journal of neuroscience : the official journal of the Society for Neuroscience (2005) 254: 941-9. 101 011 IHC; tested species: zebrafish
gemini encodes a zebrafish L-type calcium channel that localizes at sensory hair cell ribbon synapses.
Sidi S, Busch-Nentwich E, Friedrich R, Schoenberger U, Nicolson T
The Journal of neuroscience : the official journal of the Society for Neuroscience (2004) 2417: 4213-23. 101 011 IHC; tested species: zebrafish
SV2B regulates synaptotagmin 1 by direct interaction.
Lazzell DR, Belizaire R, Thakur P, Sherry DM, Janz R
The Journal of biological chemistry (2004) 27950: 52124-31. 101 011 WB, IP, IHC
The expression pattern and assembly profile of synaptic membrane proteins in ribbon synapses of the developing mouse retina.
von Kriegstein K, Schmitz F
Cell and tissue research (2003) 3112: 159-73. 101 011 IHC
Distribution of synaptic vesicle proteins in the mammalian retina identifies obligatory and facultative components of ribbon synapses.
Von Kriegstein K, Schmitz F, Link E, Südhof TC
The European journal of neuroscience (1999) 114: 1335-48. 101 011 WB, IHC
Synaptic membrane proteins form stable microdomains in early endosomes.
Geumann U, Schäfer C, Riedel D, Jahn R, Rizzoli SO
Microscopy research and technique (2010) 736: 606-17. 101 011 ICC, EM
Synapsin-dependent reserve pool of synaptic vesicles supports replenishment of the readily releasable pool under intense synaptic transmission.
Vasileva M, Horstmann H, Geumann C, Gitler D, Kuner T
The European journal of neuroscience (2012) 368: 3005-20. 101 011 ELISA
Endosomal sorting of readily releasable synaptic vesicles.
Hoopmann P, Punge A, Barysch SV, Westphal V, Bückers J, Opazo F, Bethani I, Lauterbach MA, Hell SW, Rizzoli SO
Proceedings of the National Academy of Sciences of the United States of America (2010) 10744: 19055-60. 101 011
A 38,000-dalton membrane protein (p38) present in synaptic vesicles.
Jahn R, Schiebler W, Ouimet C, Greengard P
Proceedings of the National Academy of Sciences of the United States of America (1985) 8212: 4137-41. 101 011
Background

Synaptophysin1, also referred to as p38-1, is a membrane glycoprotein of synaptic vesicles that is ubiquitously expressed in all neurons and in many endocrine cells. It is currently the most widely used marker for nerve terminals and probably the best marker for the pathologist in differentiating neuroendocrine tumors.
Synaptophysin1 has four transmembrane domains with both N- and C-terminus facing the cytoplasm. It binds to synaptobrevin1 and synaptobrevin2 in detergent extracts but its function has not been elucidated completely. It forms a complex with dynamin at high Ca2+ concentration suggesting an involvement in synaptic vesicle endocytosis. As typical for synaptic vesicle proteins, synaptophysin1 represents a small protein family with two additonal members, synaptoporin (synaptophysin2) and panthophysin. Like synaptophysin1, synaptoporin is widely expressed in neurons and colocalizes with synaptophysin1 on synaptic vesicles whereas panthophysin is expressed in all tissues.

 

For more information on protein expression pattern, please refer to the overview image in our SYSY Antibodies ATLAS.

Certificates

ISO 9001 2015 Quality Management System and Green Lab Platinum certification level for sustaining laboratory processes.

Newsletter

Sign up for our newsletter and get the latest updates and news.
 

Please provide a valid E-Mail-Address
Please provide a valid First name
Please provide a valid Last name