Tailor-made Antibodies
and Tools for Life Science
Home | | | | | Technical Support

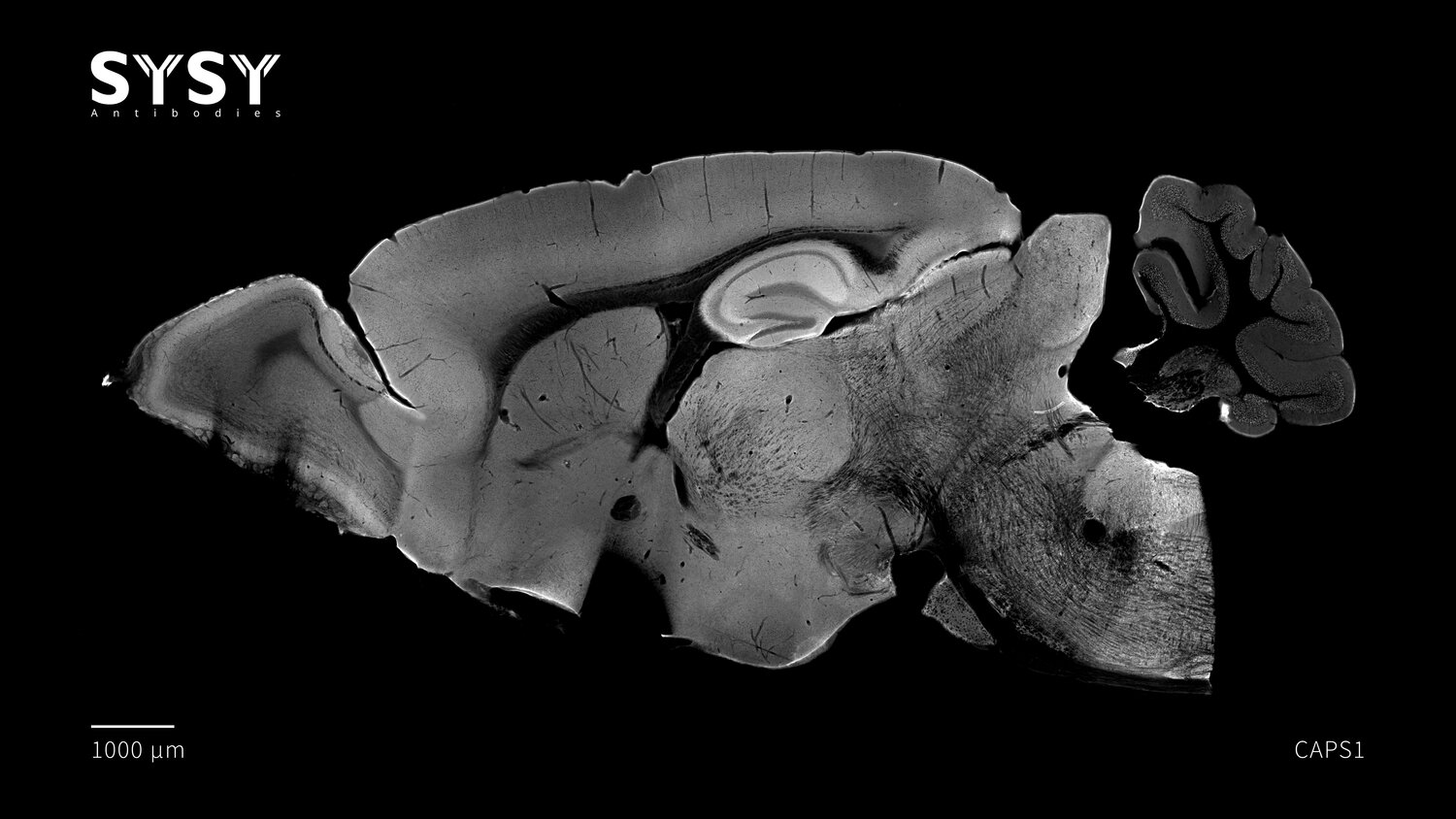
CAPS1





Indirect immunostaining of a formaldehyde fixed sagittal mouse brain section with rabbit anti-CAPS1 antibody (cat. no. 262 003, dilution 1 : 500).

Open in high resolution ({{ this.activeImage.size }} MB)
Open in high resolution ({{ this.activeImage.size }} MB)

Certificates

ISO 9001 2015 Quality Management System and Green Lab Platinum certification level for sustaining laboratory processes.

Newsletter

Sign up for our newsletter and get the latest updates and news.
 

Please provide a valid E-Mail-Address
Please provide a valid First name
Please provide a valid Last name